

Крис Винтер
Скажи бессоннице нет. Путь к продуктивности, успеху и здоровью
W. Chris Winter, MD
The Sleep Solution
© W. Chris Winter, 2021
© Юлия Медная, перевод, 2021
© Оформление: ООО «Феникс», 2022
* * *Моим пациентам – тем, кому я уже пытался помочь, и тем, с кем еще предстоит встретиться.
Я написал эту книгу для вас.
Моей жене Эймс.
Ты – моя любовь и вдохновение.
Я написал эту книгу благодаря тебе.
Пролог
Я всегда любил сон, и для меня он был очень важен. Как чудесно было в детстве на выходных поспать подольше. Отчетливо помню, как я просыпался в школу: за окном падал снег, а я слушал новости по радио в надежде, что там объявят о закрытии школы. Если бы я узнал, что школы закрыты, я мог бы тут же вернуться в кровать и поспать еще! Это событие всегда было семейным, потому что мои родители были учителями.
Когда мне было семь, доктор прописал мне лекарство от сильной простуды. Его нужно было принимать строго по часам, поэтому в течение ночи мама будила меня, чтобы дать выпить сильно пахнущую жидкость с антибиотиком. Казалось, что из-за ночных пробуждений и следующего за ними сна ночь становилась длиннее. И мне это нравилось.
Я решил стать доктором в третьем классе: мне нравилось рисовать внутренние органы и запоминать названия мышц на латыни. Когда я рассказывал родственникам и друзьям о своих планах на будущее, они всегда активно поддерживали меня. Уверен, это еще больше укрепило мою решимость. Время шло, у меня были фазы увлечения дерматологией, педиатрией и даже ортопедией, но в результате удачного стечения жизненных обстоятельств я стал изучать сон.
Искать информацию о сне и изучать его я начал задолго до того, как стал доктором, и даже задолго до получения медицинского образования. Я был очарован изучением сна, проведением исследований сна, и не боялся грязной работы. Ее было предостаточно. Возьмем юкатанских микропигов. Так сложилось, что свиньи служат прекрасной моделью для изучения сна, и храпеть они могут столь же громко, как и пациент с апноэ. Если кто-то не знаком с юкатанским микропигом – в нем нет ничего «микро», кроме запаса терпения, когда пытаешься побрить его маленький хвост, чтобы прилепить к нему датчик. Но когда речь идет о тайнах сна, запах свиного навоза кажется не такой уж большой платой.
Мое любопытство по-прежнему не имеет границ. Как врач, я хочу знать как можно больше о том, через что проходят мои пациенты. Поэтому на протяжении многих лет я добровольно сдавал кровь и даже прошел через трехчасовое нейропсихологическое тестирование. Из моего носа торчала трубка для зондового питания, мои мышцы сокращались под ударами тока, в жировые складочки на боках кололи анестетик так, что я их не чувствовал. Я даже крепил к своей голове электромагнит, из-за чего руку сводило неконтролируемым спазмом.
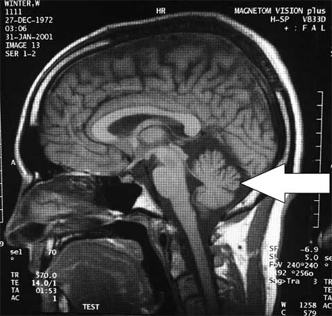
Интереснее всего было, когда однажды во время скучного ночного дежурства я спросил, можно ли мне запрыгнуть в МРТ-сканер и сделать несколько снимков своего мозга, просто чтобы узнать, каково это и что происходит внутри.
Все мои пациенты говорили, что внутри очень шумно, усиливается клаустрофобия и в целом чувствуешь себя некомфортно. Я был сильно разочарован. Что меня действительно впечатлило, так это размер моего мозжечка – до странного маленький. Следующим утром я прикрепил свой МРТ-снимок в читальном зале врачей-неврологов. У нас была такая традиция – прикреплять необычные снимки, чтобы другие врачи могли написать рядом с ними свои догадки и теории. Практически все, кто не заметил мое имя на снимках, написали «церебеллярная гипоплазия», то есть нехарактерно маленький мозжечок. Странно, но мой мозжечок (часть мозга, отвечающая за координацию мышц; на фото указан стрелкой) был немного маловат, как вы можете видеть. А большинство тех, кто все-таки увидел мое имя, предположило «атрофию яичек». Умники.

Рис. 1. Мой мозг, версия 2001
Суть вот в чем: несмотря на то, что в результате подобных экспериментов я иногда получаю информацию, которая меня не радует, мне нравится переживать тот же опыт, что и мои пациенты. Это порождает доверие и помогает найти точки соприкосновения, от которых можно отталкиваться в работе. Я хочу помочь моим пациентам решить их проблемы и понять, через что они проходят, насколько это возможно.
Будучи сомнологом, специалистом по расстройствам сна, я каждый день помогаю пациентам решать проблемы со сном. В ходе моей практики мне повезло работать со многими профессиональными спортсменами, которым я тоже помогаю разобраться со сном. Мои рекомендации могут помочь команде спланировать переезды между городами во время долгого турне. Или же помочь спортсмену и его семье приспособиться к появлению в доме малыша. Часто спортсмены испытывают трудности со сном перед важными играми или после плохих выступлений. Какой бы ни была ситуация, я надеюсь помочь игрокам улучшить их показатели за счет повышения качества сна.
Прелесть сна в том, что он важен абсолютно для всех людей из всех возможных групп. За прошедшие годы мне посчастливилось поработать как с военачальниками армии США и главами научно-технических корпораций, так и со студентами со всей страны. Благодаря полученному мною опыту я стал лучшим врачом для своих пациентов.
Такая работа приносит удовлетворение. Из моего желания помочь пациентам и клиентам родилась эта книга. Я хотел дать что-то существенное тем людям, у которых есть проблемы со сном, чтобы они могли вернуться в строй, передать знания, которые я накопил за более чем двадцать лет работы в этой области.
Эту книгу следует читать как захватывающий роман. Она не является справочным пособием. Я не хочу, чтобы вы пролистывали ее до момента, который считаете для себя наиболее важным. В ней важно все! Думайте об этом так: дочитав эту книгу до конца, вы лучше поймете, что такое сон, и сможете переосмыслить то, как вы спите, и то, как вы об этом думаете. Эта книга даст вам новое представление о том, что такое здоровый сон.
Введение в медицину сна
Фатальная семейная бессонница – очень редкое, но реально существующее заболевание, относящееся к группе прионных инфекций[1], так же как и коровье бешенство. У больного развивается прогрессирующая бессонница, сопровождающаяся галлюцинациями, паническими атаками и стремительной потерей веса. Начинаются серьезные когнитивные нарушения, и со временем человек перестает говорить. В итоге он умирает от прогрессирующей неспособности спать.
Расслабьтесь. Вы этим не болеете.
Несмотря на редкость этого заболевания, большинство людей, у которых есть проблемы со сном, считают, что их ситуация настолько же безнадежна. Мало какие проблемы со здоровьем вызывают так много стресса и тревоги, как расстройства сна, и мало какие столь же безвредны и хорошо поддаются лечению. Работая неврологом, я имел дело с очень серьезными заболеваниями. Например, боковой амиотрофический склероз, или же болезнь Лу Герига[2], приводит к потере контроля над мышцами, медленно и болезненно сводя пациента в могилу. В результате инсульта человек теряет возможность говорить. Это заболевание, плохо поддающееся лечению, последствия зачастую необратимы. Проблемы со сном могут привести к серьезным проблемам со здоровьем, но, в отличие от множества других неврологических расстройств, они лечатся. С ними можно успешно бороться.
Конечно, все это не умаляет важности проблем со сном. Например, апноэ сна вызывает удушье по ночам, приводит к повышению давления, диабету и даже остановке сердца. В 2007 году выдающийся сомнолог Том Рот обнаружил, что от бессонницы на данный момент может страдать как минимум треть населения земного шара. Исследования Мориса Охайона показали, что синдром беспокойных ног[3] может быть причиной ухудшения качества сна у пяти и более процентов людей взрослого возраста. Нарушения сна могут способствовать возникновению разнообразных проблем, таких как гастроэзофагеальная рефлюксная болезнь[4], перепады настроения, забывчивость, набор веса. Это серьезные проблемы, от которых страдает огромное количество людей.
Итак, если вам нужно лечение, то почему вы еще не лежите на смотровой кушетке у доктора, чтобы решить свою проблему, а читаете эту книгу? Возможно, потому, что менее 10 % из вас обращались к врачу для лечения расстройств сна. Более того, согласно данным Национального фонда сна[5], если при встрече с врачом вы не поднимали эту тему, то всего 30 % докторов спросят вас о том, как вы спите. Это поражает, потому что примерно треть своей жизни мы проводим во сне. Мне до сих пор ни разу не приходилось пережить резкое ухудшение зрения или ректальное кровотечение, однако каждый раз, когда я прихожу к врачу, он спрашивает меня об этих симптомах. Поверьте мне, если вдруг такое случится, мой врач тут же об этом узнает. И ему не придется спрашивать.
К слову о докторах. Давайте я расскажу вам о том, что происходит за стенами обычной медицинской школы. Независимо от будущей специализации, каждый изучает все. На протяжении нескольких лет студенты-медики ходят с одной лекции на другую, чтобы охватить все области медицины. На втором курсе к нам в аудиторию зашел невролог и сказал, что следующие пятьдесят минут мы будем изучать расстройства сна.
Я хорошо помню эту лекцию. Она началась с видео, где опрашивали пожилую пару. Жена была в слезах, а муж, глотая ком в горле, рассказывал, как ему приснилось, что он загоняет оленя в своем амбаре. Он помнит, как поймал оленя и уже готов был ударить его головой о стену, но проснулся и увидел, что держит за голову свою жену.
Это был пример нарушения поведения в фазе быстрого сна – заболевания, во время которого ослабляется обычно сопутствующий сну паралич. Невролог рассказывал и об апноэ сна, но эту часть я не запомнил, потому что меня, как и многих других студентов, видео настолько шокировало, что я больше не мог сосредоточиться.
Лекция закончилась так же быстро, как и началась. Это все, что я знал о расстройствах сна к окончанию медицинской школы, – и ваш лечащий врач, скорее всего, знает не больше. Согласно исследователю Раймонду Розену, за четыре года обучения большинство терапевтов потратили на изучение сомнологии меньше двух часов. Исследование Михая Теодореску и специалиста по расстройствам сна Рональда Червина за 2007 год показало, насколько плохо раскрыта тема сна в учебниках для медицинской школы. Учитывая, что лекция по психиатрии о мужчинах, которые фантазируют о туфлях своих жен, заняла у нас полчаса, можете себе представить, как мало внимания уделялось медицине сна в нашей учебной программе.
Хотя эта область медицины в университете изучается минимально, расстройство сна – одна из тех проблем, с которыми обращаются к доктору достаточно часто. И вашему доктору может быть сложно помочь вам. Это не упрек в адрес всех врачей-терапевтов в мире. Из-за того, что оплата их труда страховыми компаниями уменьшается, а штрафы за причинение вреда при оказании медицинской помощи растут, они осматривают все больше пациентов за меньшее время. Часто пациенты приходят с многочисленными диагнозами, которые требуют внимания, и проблемы со сном отодвигаются на второй план. Критиковать врача общей практики за неспособность эффективно лечить трудности со сном – все равно что злиться на патологоанатома за тяжелую беременность и роды: это попросту не его работа.
Так что же вы можете сделать? Стать умнее и перестать черпать информацию о сне из Cosmo, из книг, которые делают простую тему сложной, а также из разговоров с соседом. Пришло время перестать жаловаться, избавиться от заблуждений и разобраться в том, что такое сон и почему вы не высыпаетесь. Поэтому соберите все свои безрецептурные пилюли для сна и смойте их в канализацию. Учеба вот-вот начнется.
1. Для чего нужен сон? Для всего!
Помните, в детстве были книжки Mad Libs[6]? Когда я учился в средней школе, мне нравилось получать эти небольшие книги в мягкой обложке вместе с другими заказанными книгами в детском книжном клубе Scholastic Reading Club. В них было много историй, которые можно было дополнять, если вы знали части речи. Добавив несколько прилагательных, глаголов и имен своих друзей, можно было получить немного нелогичный, но невероятно смешной рассказ.
Я всегда думал, что сон и его взаимоотношения с другими заболеваниями похожи на игру Mad Libs. Когда речь идет о связи сна с другими процессами, происходящими в нашем теле, можно сказать, что практически не существует такой болезни или системы органов, с которыми он бы не был связан тем или иным образом. Не верите мне? Попробуйте поиграть в это сами и поймете, о чем я говорю.
Sleep LibsЗаполните приведенный ниже Mad Libs[7]:
Почему качество сна важно

Уморительно, правда? Что примечательно в этой истории от Mad Libs – подставьте сюда почти любое слово, и окажетесь правы. В поле «заболевание» можно вписать гипертонию, инфаркт, инсульт, ожирение, диабет, рак, сердечную недостаточность, мигрени, мерцательную аритмию, депрессию, ночное недержание мочи, нейродегенеративные расстройства и нарушения памяти, например болезнь Альцгеймера[8]. Список можно продолжать бесконечно, и все эти ответы будут верными!
Считайте сон одним из основных процессов в вашем организме, на который вы можете повлиять. По моему мнению, есть три столпа, на которых держится наше здоровье и которые мы можем контролировать: питание, физические нагрузки и сон. Сон – невероятно важный процесс в нашем организме. Если вы даже больше ничего не вынесете из этой книги, запомните одно: сон – это не отсутствие бодрствования. Другими словами, сон не является переключателем в мозге, который находится либо в положении ВКЛ (вы читаете эту книгу, попивая кофе) или ВЫКЛ (спите). Пока вы спите ночью, ваш организм творит удивительные вещи.
Что касается работы мозга, помимо того, что я являюсь сомнологом, по образованию я невролог, то есть врач, лечащий мозг. Специалисты по расстройствам сна часто бывают неврологами, но они могут быть и психиатрами, пульмонологами, терапевтами / семейными докторами и даже педиатрами. Зачем это надо пульмонологу? Понятия не имею. Мне кажется, что у сна с легкими столько же общего, сколько с почками или селезенкой![9] Хотя сон в какой-то степени влияет практически на каждую систему или орган в теле, сам сон в первую очередь связан с работой мозга. Именно здесь он рождается, именно мозг его контролирует. Сон – это неврологическое состояние, поэтому, если говорить о сне, надо говорить о мозге. По этой причине именно отсюда мы начнем исследование того, как плохой сон влияет на наши тела. Если вы думаете, что ваши ночные посиделки или безумный график работы – это не страшно, возможно, прежде чем вы продолжите читать, вам нужно присесть. Длительный плохой сон подобен плохой косметической хирургии: это рискованно, дорого и некрасиво.
Сон и мозгСо времен обучения в медицинской школе я отчетливо помню несколько вещей. Помню ни с чем не сравнимый запах формалина и как трудно было удалять жир с внутренних органов во время вскрытия[10]. Помню, как проходил какой-то тест, где нам показывали завораживающую картинку с желчными камнями, и я подумал, что они удивительно красивы. Пришла мысль, что, если их отполировать, они бы стали прекрасными бусинами в ожерелье.
Также помню обсуждение лимфатической системы: она транспортирует жидкость в нашем организме и отвечает за перемещение и удаление отходов. Будучи начинающим неврологом, я был очень удивлен, когда наш профессор заявил, что нервная система лишена подобной возможности. Самая важная система в нашем организме не может избавляться от отходов, а селезенка может? Это лишено всякого смысла.
Перенесемся в 2015 год, когда ученые Антуан Луво и Алексантери Аспелунд независимо друг от друга обнаружили, что на самом деле у мозга есть система для удаления отходов – глимфатическая система. Хотя сегодня ученые в целом согласны с тем, что она существует, внимание к себе приковал один аспект глимфатической системы. Ученые обнаружили, что она в основном удаляет бета-амилоид (Aβ), белок, который накапливается в мозгу пациентов, страдающих болезнью Альцгеймера. Хотя этот факт сам по себе завораживает, есть кое-что еще:
Глимфатическая система работает на 60 % эффективнее, когда мы спим, чем когда мы бодрствуем.
Поразительно, правда? У нас не только есть система для удаления отходов из мозга, но и, согласно работе датского исследователя Майкен Недергаард и ее коллег, система ликвидации отходов функционирует намного лучше, когда мы спим.
Зная это, подумайте о долгосрочных последствиях, к которым приводит недостаток сна. Засиживаясь допоздна, вы мешаете вашему мозгу избавляться от токсичных продуктов, которые накопились за день. Представьте, что ваш мозг – это крупный океанский танкер. Глимфатическая система – это трюмный насос, который сливает воду из корпуса судна. Если насос неисправен или работает неэффективно, вода накапливается и корабль тонет[11]. Это, конечно же, не полностью объясняет возникновение болезни Альцгеймера, но может сыграть важную роль в ее развитии. В статье 2013 года, опубликованной в журнале Американской медицинской ассоциации «Неврология», приводятся данные, подтверждающие существование этого механизма. При обследовании семидесяти пожилых людей было выявлено, что у тех, кто меньше или хуже спит, повышен уровень бета-амилоидов (Aβ).
На острие наукиБольшинство людей считают, что они практически не могут повлиять на генетику. Если у вас генетически обусловлен зеленый цвет глаз, вы практически ничего не сможете сделать, чтобы изменить его, разве что купить цветные контактные линзы. Было доказано, что наличие гена, кодирующего аполипопротеин Е4, повышает риск развития болезни Альцгеймера в 10–30 раз по сравнению с теми, у кого его нет. Если бы пару лет назад у вас нашли этот ген, можно было бы считать, что вам крупно не повезло. Однако в исследовании 2013 года, опубликованном в журнале Американской медицинской ассоциации, эта идея была поставлена под сомнение. В этом крупном исследовании на уровне общин изучались 698 пожилых участников. В его рамках проводилась и оценка качества сна. За время исследования у 98 пациентов развилась болезнь Альцгеймера. Анализ результатов показал, что улучшение качества сна способствовало снижению влияния аполипопротеина Е4 на тяжесть заболевания. Пациенты с генетической предрасположенностью к болезни Альцгеймера смогли значительно ограничить и/или сократить риск развития этого заболевания, просто улучшив качество сна. Задумайтесь об этом на минутку: качественный сон влияет на генетические тенденции. Мы склонны считать, что генетические особенности влекут за собой неизбежные и неотвратимые последствия. Это исследование показывает, что наш выбор и поведение могут влиять на наши организмы на генетическом уровне. Вот это сила!
Вот что еще стоит сказать о глимфатической системе: похоже, что она работает лучше, когда вы спите на боку. Ученый из Университета Стоуни-Брук Хэдок Ли и его коллеги, изучающие грызунов, обнаружили, что глимфатическая система работала наиболее эффективно, когда грызуна поворачивали на бок. Прямо сейчас вы можете внести в свое поведение одно изменение, которое позволит снизить риск развития у вас болезни Альцгеймера, – просто спать на боку.
Болезнь Альцгеймера – не единственное неврологическое расстройство, связанное с плохим сном. Исследование 2011 года показало, что есть связь между плохим сном и болезнью Паркинсона[12]. Еще одно исследование, проведенное в 2014 году, связало с плохим сном и другие нейродегенеративные заболевания, а также снижение функций памяти в целом[13].
Сон и ожирениеЭта книга не о похудении. В конце вы не найдете модных диет или рецептов смузи с семенами чиа. Несмотря на это, все же имеет смысл поднять тему сна и ожирения, потому что до недавнего времени связь между ними в значительной степени игнорировалась. Благодаря проведенным в последние десятилетия исследованиям стало очевидно, что лишний вес может влиять на качество сна, главным образом из-за изменений в дыхании. Этот феномен стал известен как пиквикский синдром, названный в честь романа Чарльза Диккенса «Посмертные записки Пиквикского клуба». В книге есть персонаж Джо с лишним весом, который часто засыпает днем, подобно многим другим страдающим апноэ сна. Хотя история исследований, связывающих набор веса с плохим сном, насчитывает более пятидесяти лет, научные труды, которые изучают связь плохого сна с набором веса, появились относительно недавно. За последние несколько лет было опубликовано много работ, которые показывали, что плохой сон ведет к набору веса. Лежащие в основе этих работ механизмы сильно разнятся, но вот несколько основных моментов:
• Многочисленные исследования показали, что сон продолжительностью менее шести часов и бодрствование после полуночи приводят к ожирению. Рассмотрев в своей работе 2015 года привычки более 1 млн жителей Китая, исследователь Цзиньвэнь Чжан обнаружил более высокую степень ожирения у людей, которые спят меньше семи часов в день. Еще одно исследование 2015 года, опубликованное в журнале Sleep клиническим психологом Рэндаллом Йоргенсеном, ясно показало, что при уменьшении сна увеличивался объем талии. Эти исследования вышли на тот уровень, когда их стало невозможно игнорировать. На них очень удобно ссылаться, когда вы решите поспать подольше и пропустить встречу с другом в спортзале.
• Дети школьного возраста, которые спали недостаточно (меньше девяти часов за ночь) и/или не соблюдали режим, были более склонны к ожирению, согласно работе, опубликованной в 2008 году исследователем циркадного ритма и эндокринной системы Евой ван Котер. И когда я наблюдаю за подростками, бодрствующими допоздна, мне так и хочется пойти с этими исследованиями в их школу и спросить учителей, стоит ли невообразимое количество домашней работы тех денег, которые эти дети впоследствии потратят на модные диеты и утягивающее белье.
• Грелин – гормон, который вырабатывается в нашем желудке. Грелин воздействует на мозг и вызывает чувство голода, но также он может играть важную роль в получении удовольствия, которое мы связываем с едой. Грелин заставляет нас мечтать о полуфабрикатах, лежащих во всем своем великолепии на витринах круглосуточных мини-маркетов. Работа клинического исследователя Шаграда Тахери показала, что при сокращении продолжительности сна выработка грелина растет, повышая тем самым вероятность переедания и ожирения.
• Плохое качество сна может влиять на уровень химического вещества лептина в нашем организме. Лептин, который вырабатывается нашими жировыми клетками, стимулирует чувство сытости и подавляет наш аппетит. Согласно исследованию 2015 года, проведенному Фаидом Хакимом, когда мы плохо спим, уровень лептина снижается, что заставляет нас есть больше.
• Работа исследователей Алиссы Лундал и Тимоти Нельсона 2015 года показывает, что после плохого сна уровень нашей энергии понижен. И один из механизмов компенсации – съесть больше, чтобы повысить свою работоспособность.
• При плохом сне снижается уровень самоконтроля и повышается склонность к риску. Эти факторы могут привести к нездоровому питанию в периоды, когда человек спит недостаточно или урывками, согласно работе гарвардского ученого Уильяма Киллгора, опубликованной в 2006 году.
На острие наукиИсследование 2015 года, в котором приняли участие 3300 человек, как молодых, так и взрослых людей, привело к выводам, которые заставляют задуматься. Лорен Асарнов и ее группа из Беркли изучали влияние хронического недосыпа на вес человека. Исследователи обнаружили, что со временем на каждый пропущенный человеком час сна он или она набирает 2,1 пункта индекса массы тела (ИМТ)[14]
Конец ознакомительного фрагмента.
Текст предоставлен ООО «ЛитРес».
Прочитайте эту книгу целиком, купив полную легальную версию на ЛитРес.
Безопасно оплатить книгу можно банковской картой Visa, MasterCard, Maestro, со счета мобильного телефона, с платежного терминала, в салоне МТС или Связной, через PayPal, WebMoney, Яндекс.Деньги, QIWI Кошелек, бонусными картами или другим удобным Вам способом.
Примечания
1
Прионные инфекции – группа нейродегенеративных заболеваний людей и животных с образованием губчатой энцефалопатии. – Прим. ред.
2
Боковой амиотрофический склероз (БАС, болезнь Шарко, болезнь Лу Герига) – прогрессирующее неизлечимое дегенеративное заболевание центральной нервной системы, приводящее к параличу и последующей атрофии мышц. – Прим. ред.