

Крис Фрит
Мозг и душа. Как нервная деятельность формирует наш внутренний мир
© Chris D. Frith, 2007
All Rights Reserved. Authorised translation from the English language edition published by Blackwell Publishing Limited. Responsibility for the accuracy of the translation rests solely with The Dynasty Foundation and is not the responsibility of John Blackwell Publishing Limited. No part of this book may be reproduced in any form without the written permission of the original copyright holder, Blackwell Publishing Limited.
© Фонд Дмитрия Зимина “Династия”, издание на русском языке, 2010
© П. Петров, перевод на русский язык, 2010
© ООО “Издательство Астрель”, 2010
Издательство CORPUS®
Все права защищены. Никакая часть электронной версии этой книги не может быть воспроизведена в какой бы то ни было форме и какими бы то ни было средствами, включая размещение в сети Интернет и в корпоративных сетях, для частного и публичного использования без письменного разрешения владельца авторских прав.
Посвящается Уте
Список сокращений
АКТ – аксиальная компьютерная томография
МРТ – магнитно-резонансная томография
ПЭТ – позитронно-эмиссионная томография
ФМРТ – функциональная магнитно-резонансная томография
ЭЭГ – электроэнцефалограмма
BOLD (blood oxygenation level dependent) – зависящий от уровня кислорода в крови
Предисловие
У меня в голове есть изумительное трудосберегающее устройство. Мой мозг – лучше, чем посудомоечная машина или калькулятор, – освобождает меня от скучной, однообразной работы по узнаванию окружающих вещей и даже избавляет меня от необходимости думать о том, как контролировать движения моего тела. Это дает возможность сосредоточиться на том, что действительно для меня важно: на дружбе и обмене идеями. Но, разумеется, мой мозг не только избавляет меня от утомительной повседневной работы. Он-то и формирует того меня, жизнь которого проходит в обществе других людей. Кроме того, именно мой мозг позволяет мне делиться с моими друзьями плодами своего внутреннего мира. Так мозг делает нас способными на нечто большее, чем то, на что способен каждый из нас поодиночке. В этой книге рассказано о том, как мозг творит эти чудеса.
Благодарности
Моя работа по изучению психики и мозга стала возможна благодаря финансированию Медицинского исследовательского совета и Треста Уэллкома. Медицинский исследовательский совет дал мне возможность заниматься нейрофизиологией шизофрении за счет финансовой поддержки психиатрического подразделения Тима Кроу при Клиническом исследовательском центре лондонской больницы Нортуик-Парка в Хэрроу (Миддлсекс). В то время мы могли судить о взаимосвязях психики и мозга лишь на основании косвенных данных, но всё изменилось в восьмидесятые годы, когда были изобретены томографы для сканирования работающего мозга. Трест Уэллкома дал возможность Ричарду Фраковяку создать Лабораторию функциональной томографии и оказывал финансовую поддержку моей работе, проводимой в этой лаборатории, по исследованию нейрофизиологических основ сознания и социальных взаимодействий. Изучение психики и мозга находится на стыке многих традиционных дисциплин, от анатомии и вычислительной нейробиологии до философии и антропологии. Мне очень повезло, что я всегда работал в междисциплинарных – и многонациональных – исследовательских группах.
Мне очень много дало общение с коллегами и друзьями из Университетского колледжа Лондона, в особенности с Рэем Доланом, Диком Пассингемом, Дэниэлом Уолпертом, Тимом Шэллисом, Джоном Драйвером, Полом Бёрджессом и Патриком Хаггардом. На ранних этапах работы над этой книгой мне помогли неоднократные плодотворные обсуждения, касавшиеся мозга и психики, с моими друзьями в Орхусе, Якобом Ховю и Андреасом Рёпсторфом, и в Зальцбурге, с Йозефом Пернером и Хайнцем Виммером. Мартин Фрит и Джон Ло всегда, сколько я себя помню, спорили со мной обо всем, о чем идет речь в этой книге. Ева Джонстоун и Шон Спенс щедро делились со мной своими профессиональными знаниями о психиатрических явлениях и их значении для науки о мозге.
Наверное, важнейшим стимулом для написания этой книги послужили мои еженедельные разговоры в прошлой и нынешней компании, собиравшейся за завтраком. Сара-Джейн Блейкмор, Давина Бристоу Тьерри Шаминад, Дженни Кулл, Эндрю Даггинс, Хлоя Фаррер, Хелен Гэллахер, Тони Джек, Джеймс Килнер, Хагуань Лау, Эмильяно Макалузо, Элинор Магуайр, Пьер Маке, Джен Марчант, Дин Моббс, Матиас Пессильоне, Кьяра Портас, Герайнт Рис, Йоханнес Шульц, Сухи Шергилл и Таня Зингер помогли оформиться этой книге. Я глубоко признателен им всем.
Карлу Фристону и Ричарду Грегори, прочитавшим отдельные разделы этой книги, я благодарен за неоценимую помощь и ценные советы. Я также благодарен Полу Флетчеру за то, что на ранних этапах работы над книгой он поддержал идею ввести в нее профессора английского языка и других персонажей, которые спорят с рассказчиком.
Филип Карпентер самоотверженно способствовал улучшению этой книги своими критическими замечаниями.
Я особенно признателен тем, кто прочитал все главы и подробно прокомментировал мою рукопись. Шон Гэллахер и два анонимных читателя высказали немало ценных предложений, как улучшить текст этой книги. Розалинда Ридли заставила меня тщательнее обдумывать свои утверждения и быть аккуратнее с терминологией. Алекс Фрит помог мне избавиться от профессионального жаргона и от недостатков последовательности изложения.
Ута Фрит активно участвовала в этом проекте на всех его этапах. Если бы она не подавала мне пример и не направляла меня, эта книга никогда бы не увидела свет.
Пролог: настоящие ученые не изучают сознание
Почему психологи боятся вечеринок
Как и у всякого другого племени, у ученых есть своя иерархия. Место психологов в этой иерархии – в самом низу. Я обнаружил это на первом курсе университета, где я изучал естественные науки. Нам было объявлено, что студенты колледжа – впервые – получат возможность в первой части курса естественных наук заниматься психологией. Окрыленный этим известием, я пошел к руководителю нашей группы, чтобы спросить, что ему известно об этой новой возможности. “Да, – ответил он. – Но мне не могло прийти в голову, что кто-то из моих студентов окажется настолько бестолковым, что захочет изучать психологию”. Сам он был физиком.
Оттого, вероятно, что я был не вполне уверен, что значит “бестолковый”, меня это замечание не остановило. Я оставил физику и занялся психологией. С тех пор и до настоящего времени я продолжаю изучать психологию, но я не забыл своего места в научной иерархии. На вечеринках, где собираются ученые, время от времени неизбежно всплывает вопрос: “А чем вы занимаетесь?” – и я склонен дважды подумать, прежде чем отвечать: “Я психолог”.
Разумеется, за последние 30 лет в психологии многое изменилось. Мы позаимствовали немало методов и концепций у других дисциплин. Мы изучаем не только поведение, но и мозг. Мы пользуемся компьютерами для анализа своих данных и моделирования психических процессов.[1] На моем университетском беджике написано не “психолог”, а “когнитивный нейробиолог”.

Рис. п.1. Общий вид и срез головного мозга человека
Человеческий мозг, вид сбоку (вверху). Стрелкой отмечено место, где прошел срез, показанный на нижней фотографии. Наружный слой мозга (кора) состоит из серого вещества и образует множество складок, позволяющих уместить большу́ю площадь поверхности в малом объеме. Кора содержит порядка 10 миллиардов нервных клеток.
И вот меня спрашивают: “А чем вы занимаетесь?” Кажется, это новая заведующая отделением физики. К сожалению, мой ответ “Я когнитивный нейробиолог” только отсрочивает развязку. После моих попыток объяснить, в чем, собственно, состоит моя работа, она говорит: “А, так вы психолог!” – с тем характерным выражением лица, в котором я читаю: “Нет бы вам заняться настоящей наукой!”.
К разговору присоединяется профессор английского языка и поднимает тему психоанализа. У нее есть новая студентка, которая “во многом не согласна с Фрейдом”. Чтобы не испортить себе вечер, я воздерживаюсь от высказывания мысли, что Фрейд был выдумщиком, а его рассуждения о человеческой психике имеют мало отношения к делу.
Несколько лет назад редактор “Британского психиатрического журнала” (British Journal of Psychiatry), очевидно по ошибке, попросил меня написать рецензию на фрейдистскую статью. Меня сразу же поразило одно тонкое отличие от статей, которые я обычно рецензирую. Как и в любой научной статье, там было много ссылок на литературу. В основном это ссылки на работы по той же теме, опубликованные ранее. Мы ссылаемся на них отчасти и для того, чтобы отдать должное достижениям предшественников, но преимущественно для того, чтобы подкрепить те или иные утверждения, которые содержатся в нашей собственной работе. “Не обязательно верить мне на слово. Можете прочитать подробное обоснование использованных мной методов в работе Бокса и Кокса (Box, Cox, 1964)”.[2] Но авторы этой фрейдистской статьи вовсе не пытались подкрепить приводимые факты ссылками. Ссылки на литературу касались не фактов, а идей. Пользуясь ссылками, можно было проследить развитие этих идей в трудах различных последователей Фрейда вплоть до исходных слов самого учителя. При этом не приводилось никаких фактов, по которым можно было бы судить о том, справедливы ли были его идеи.
“Может быть, Фрейд и оказал большое влияние на литературную критику, – говорю я профессору английского языка, – но он не был настоящим ученым. Он не интересовался фактами. Я же изучаю психологию научными методами”.
“Стало быть, – отвечает она, – вы используете чудовище машинного разума, чтобы убивать в нас человеческое начало”.[3]
С обеих сторон пропасти, разделяющей наши взгляды, я слышу одно и то же: “Наука не может исследовать сознание”. Почему же не может?
Точные и неточные науки
В системе научной иерархии “точные” науки занимают высокое положение, а “неточные” – низкое. Предметы, изучаемые точными науками, подобны ограненному алмазу, у которого есть строго определенная форма, а все параметры могут быть измерены с высокой точностью. “Неточные” науки изучают предметы, похожие на шарик мороженого, форма которого далеко не столь определенна, а параметры могут меняться от измерения к измерению. Точные науки, такие как физика и химия, исследуют осязаемые предметы, поддающиеся очень точным измерениям. Например, скорость света (в вакууме) составляет ровно 299 792 458 метров в секунду. Атом фосфора весит в 31 раз больше, чем атом водорода. Это очень важные числа. Исходя из атомного веса различных элементов можно составить периодическую таблицу, некогда позволившую сделать первые выводы о строении материи на субатомном уровне.
Когда-то биология была не такой точной наукой, как физика и химия. Это положение дел кардинально изменилось после того, как ученые открыли, что гены состоят из строго определенных последовательностей нуклеотидов в молекулах ДНК. Например, ген овечьего приона[4] состоит из 960 нуклеотидов и начинается так: ЦТГЦАГАЦТТТААГТГАТТСТТАЦГТГГЦ…
Я должен признать, что перед лицом такой точности и строгости психология выглядит очень неточной наукой. Самое известное число в психологии – 7, число предметов, которые можно одновременно удерживать в рабочей памяти.[5] Но даже эта цифра нуждается в уточнении. Статья Джорджа Миллера об этом открытии, опубликованная в 1956 году, называлась “Магическое число семь – плюс-минус два”. Стало быть, лучший результат измерений, полученный психологами, может меняться в ту или иную сторону почти на 30 %. Число предметов, которые мы можем удержать в рабочей памяти, может быть разным в зависимости от времени и от человека. В состоянии усталости или тревоги я запомню меньше чисел. Я говорю по-английски и поэтому могу запомнить больше чисел, чем те, кто говорит по-валлийски.[6] “А чего вы ожидали? – говорит профессор английского языка. – Человеческую душу нельзя расправить, как бабочку в витрине. Каждый из нас неповторим”.
Это замечание не вполне уместно. Разумеется, каждый из нас неповторим. Но у всех нас есть и общие свойства психики. Именно эти фундаментальные свойства и ищут психологи. У химиков была ровно та же проблема с веществами, которые они исследовали до открытия химических элементов в XVIII веке. Каждое вещество неповторимо. У психологии, по сравнению с “точными” науками, было мало времени на то, чтобы найти, что измерять, и придумать, как измерять. Психология как научная дисциплина существует лишь немногим более 100 лет. Я уверен, что со временем психологи найдут, что измерять, и разработают приспособления, которые помогут нам сделать эти измерения очень точными.
Точные науки объективны, неточные – субъективны
Эти оптимистичные слова основаны на моей вере в неостановимый прогресс науки.[7] Но, к сожалению, в случае с психологией для подобного оптимизма нет прочных оснований. То, что мы пытаемся измерить, качественно отличается от того, что измеряют в точных науках.
В точных науках результаты измерений объективны. Их можно проверить. “Не верите, что скорость света составляет 299 792 458 метров в секунду? Вот вам оборудование. Измерьте сами!” Когда мы воспользуемся этим оборудованием для измерений, результаты появятся на циферблатах, распечатках и экранах компьютеров, где любой сможет прочитать их. А психологи используют в качестве измерительных приборов самих себя или своих добровольных помощников. Результаты таких измерений субъективны. Проверить их нельзя.
Вот несложный психологический эксперимент. Я включаю на своем компьютере программу, которая показывает поле черных точек, непрерывно движущихся вниз, от верхней части экрана к нижней. Минуту или две я смотрю на экран. Затем я нажимаю “Escape”, и точки перестают двигаться. Объективно они больше не двигаются. Если я приставлю к одной из них кончик карандаша, я смогу убедиться, что эта точка определенно не движется. Но у меня остается очень сильное субъективное ощущение, что точки медленно движутся вверх.[8] Если в этот момент вы вошли бы в мою комнату, вы бы увидели на экране неподвижные точки. Я сказал бы вам, что мне кажется, будто точки движутся вверх, но как вы это проверите? Ведь их движение происходит лишь у меня в голове.
Разумеется, всякий может испытать эту иллюзию движения. Если вы сами посмотрите на движущиеся точки минуту или две, то увидите движение неподвижных точек. Но теперь их движение происходит у вас в голове, и я не могу это проверить. Есть и много других впечатлений, которыми мы не можем поделиться. Например, я мог бы сказать вам, что всякий раз, когда я прихожу на вечеринки, я невольно вспоминаю лицо той дамы, с которой я спорил о Фрейде. Какого рода это воспоминание? Возникает ли передо мной образ ее лица? Помню ли я само это событие или же я помню лишь то, как писал об этом событии? Подобные вещи никак нельзя проверить. Как же они могут служить основанием для научных исследований?
Настоящему ученому хочется самостоятельно и независимо проверять результаты измерений, о которых сообщают другие. “Nullius in verba”[9] – вот девиз Лондонского королевского общества: “Не верь тому, что тебе говорят другие, как бы ни был высок их авторитет”.[10] Если бы я следовал этому принципу, мне пришлось бы согласиться, что научное исследование вашего внутреннего мира для меня невозможно, потому что для этого приходится полагаться на то, что вы сообщаете мне о своем внутреннем опыте.
Некоторое время психологи изображали из себя настоящих ученых, исследуя только поведение – проводя объективные измерения таких вещей, как движения, нажимание кнопок, время реакции.[11] Но исследований поведения отнюдь не достаточно. Такие исследования оставляют без внимания всё самое интересное в нашем личном опыте. Все мы знаем, что наш внутренний мир не менее реален, чем наша жизнь в материальном мире. Безответная любовь приносит не меньше страданий, чем ожог от прикосновения к раскаленной плите.[12] Работа сознания может влиять на результаты физических действий, которые можно объективно измерить. Например, если вы будете представлять себе, что играете на фортепиано, качество вашего исполнения может улучшиться. Так почему бы мне не верить вам на слово, что вы представляли, что играете на фортепиано? Теперь мы, психологи, вернулись к изучению субъективного опыта: ощущений, воспоминаний, намерений. Но проблема никуда не делась: у психических явлений, которые мы изучаем, совершенно другой статус, чем у материальных явлений, которые изучают другие ученые. Только с ваших слов я могу узнать о том, что происходит у вас в сознании. Вы нажимаете кнопку, чтобы сообщить мне, что увидели красный свет. Вы можете рассказать мне, какого оттенка был этот красный. Но я никак не могу проникнуть в ваше сознание и сам проверить, насколько красным был тот свет, который вы увидели.
Для моей приятельницы Розалинды каждое число имеет определенное положение в пространстве, а каждый день недели окрашен в свой цвет (см. рис. ЦВ1 на цветной вставке). Но, может быть, это просто метафоры? Я никогда не испытывал ничего подобного. Почему я должен верить ей, когда она говорит, что это ее непосредственные, неконтролируемые ощущения? Ее ощущения относятся к явлениям внутреннего мира, которые я никак не могу проверить.
Поможет ли большая наука неточной науке?
Точная наука становится “большой наукой”[13], когда начинает использовать очень дорогие измерительные приборы. Наука о мозге стала большой, когда в последней четверти XX века были разработаны томографы для сканирования мозга. Один такой томограф обычно стоит более миллиона фунтов стерлингов. Благодаря чистому везению, оказавшись в нужное время в нужном месте, я получил возможность пользоваться этими аппаратами, когда они еще только появились, в середине восьмидесятых[14]. Первые такие аппараты были основаны на давно внедренном принципе рентгеноскопии. Рентгеновский аппарат может показать кости внутри вашего тела, потому что кости намного тверже (плотнее), чем кожа и мягкие ткани. Подобные различия плотности наблюдаются и в мозгу. Окружающий мозг череп обладает очень высокой плотностью, а плотность тканей самого мозга намного меньше. В глубине мозга находятся полости (желудочки), заполненные жидкостью, они обладают самой низкой плотностью. Прорыв в этой области произошел, когда была разработана технология аксиальной компьютерной томографии (АКТ) и был сконструирован АКТ-сканер. Этот аппарат использует рентгеновские лучи для измерения плотности, а затем решает огромное число уравнений (для чего требуется мощный компьютер) и строит трехмерное изображение мозга (или любой другой части тела), отражая различия в плотности. Такой прибор впервые позволил увидеть внутреннюю структуру мозга живого человека – добровольного участника эксперимента.
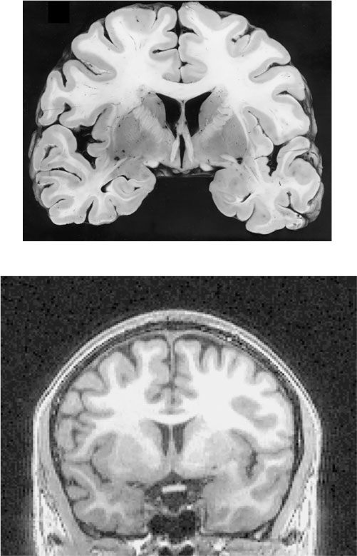
Через несколько лет был разработан другой метод, еще лучше прежнего, – магнитно-резонансная томография (МРТ). В МРТ используются не рентгеновские лучи, а радиоволны и очень сильное магнитное поле.[15] В отличие от рентгеноскопии эта процедура совершенно не опасна для здоровья. МРТ-сканер намного чувствительнее к различиям плотности, чем АКТ-сканер. На изображениях мозга живого человека, получаемых с его помощью, различимы разные типы тканей. Качества таких изображений не ниже, чем качество фотографий мозга, после смерти извлеченного из черепа, законсервированного химикатами и нарезанного тонкими слоями.

Рис. п.2. Пример полученного с помощью МРТ структурного изображения мозга и срез мозга, извлеченного из трупа
Вверху – фотография одного из срезов мозга, извлеченного из черепа после смерти и нарезанного тонкими слоями. Внизу – изображение одного из слоев мозга живого человека, полученное методом магнитно-резонансной томографии (МРТ).
Структурная томография мозга сыграла огромную роль в развитии медицины. Мозговые травмы, полученные в результате дорожно-транспортных происшествий, инсультов или роста опухолей, могут самым серьезным образом сказываться на поведении. Они могут приводить к тяжелым формам потери памяти или серьезным изменениям личности. До появления компьютерных томографов единственный способ узнать, где именно произошла травма, состоял в том, чтобы снять крышку черепа и посмотреть. Обычно это делали уже после смерти, но иногда и у живого пациента – когда требовалась нейрохирургическая операция. Теперь томографы позволяют точно определить местоположение травмы. Всё, что требуется от пациента, это минут 15 неподвижно пролежать внутри томографа.

Рис. п.3. Пример МРТ-скана, позволяющего выявить повреждение мозга
Этот пациент перенес два инсульта подряд, в результате чего у него разрушились слуховые зоны коры правого и левого полушарий. Травма хорошо видна на изображении, полученном методом МРТ.
Структурная томография мозга – это и точная, и большая наука. Измерения структурных параметров мозга, проводимые с помощью этих методов, могут быть очень точными и объективными. Но какое отношение имеют эти измерения к проблеме психологии как “неточной” науки?
Измерение активности мозга
Решению проблемы помогла не структурная томография. Прогресс в этой области обеспечили функциональные томографы, разработанные через несколько лет после структурных. Эти аппараты позволяют регистрировать потребление энергии тканями мозга. Бодрствуем мы или спим, 15 миллиардов нервных клеток (нейронов) нашего мозга постоянно посылают сигналы друг другу. При этом тратится немало энергии. Наш мозг потребляет около 20 % энергии всего тела, несмотря на то что его масса составляет лишь около 2 % от массы тела. Весь мозг пронизан сетью кровеносных сосудов, по которым и переносится энергия в форме кислорода, содержащегося в крови. Распределение энергии в мозгу очень точно отрегулировано, так чтобы в те участки мозга, которые в настоящий момент наиболее активны, ее поступало больше. Когда мы пользуемся слухом, самыми активными участками нашего мозга оказываются две боковые области, в которых находятся нейроны, получающие сигналы непосредственно от ушей (см. рис. ЦВ2 на цветной вставке). Когда нейроны в этих областях активно работают, туда поступает больше крови. Эта связь между активностью мозга и локальными изменениями кровотока была известна физиологам уже больше 100 лет, но до изобретения функциональных томографов не было возможности регистрировать подобные изменения.[16] Функциональные томографы для сканирования мозга (разработанные на основе методов позитронно-эмиссионной томографии (ПЭТ), и функциональной магнитно-резонансной томографии ФМРТ) позволяют регистрировать подобные изменения кровоснабжения, указывающие на то, какие области мозга в настоящий момент наиболее активны.
Самый большой недостаток таких томографов состоит в неудобствах, которые испытывает человек при сканировании его мозга. Ему приходится лежать на спине около часа, по возможности неподвижно. Единственное, что можно делать, находясь внутри томографа, это думать, но в случае с ФМРТ даже думать, оказывается, не так-то просто, потому что томограф производит такой шум, как будто у вас под самым ухом работает отбойный молоток. В одном из самых первых, новаторских исследований, проводившихся с помощью ранней модели позитронно-эмиссионного томографа, испытуемых просили представить себе, что они выходят из своего дома и идут по улицам, сворачивая на каждом перекрестке налево[17]. Оказалось, что подобных чисто воображаемых действий вполне достаточно, чтобы вызвать активацию работы многих участков мозга.

Рис. п.4. Кора головного мозга и ее клетки
Срез коры головного мозга под микроскопом и слои нервной ткани, видимые на срезе.
Вот здесь-то большая наука и приходит на помощь “неточной” психологии. Испытуемый, лежащий в томографе, представляет себе, что он[18] идет по улице. В действительности он не движется и ничего не видит. Эти события происходят лишь у него в голове. Я никак не могу проникнуть в его сознание, чтобы проверить, действительно ли он делает то, о чем его попросили. Но с помощью томографа я могу проникнуть в его мозг. И я могу увидеть, что, когда он представляет себе, что идет по улице и поворачивает налево, в его мозгу наблюдается активность определенного характера.