
Наконец, отношения между некоторыми параметрами и скоростями снижения ОФВ1 кажутся парадоксальными и необъяснимыми в строго биологическом смысле, и они могут обеспечить ценную информацию по поводу вариаций в стандартах лечения. Например, трудно найти рациональную биофизическую связь между наличием сухих свистящих хрипов и уменьшением скорости снижения ОФВ1 (связь, которая, по наблюдениям, является статистически значимой у детей более младшего возраста, и почти то же самое наблюдали у подростков[90]). Тем не менее если постулировать, что наличие сухих свистящих хрипов может повысить точность пульмонологической помощи и/или соблюдения режима лечения, сухие свистящие хрипы можно рассматривать как косвенный маркер более качественной пульмонологической помощи и имеет смысл связывать его с лучшими результатами для ОФВ1. Наиболее поразительный пример парадоксального отношения между значением параметра и оцениваемой будущей судьбой снижения ОФВ1 можно найти в самом % расчетного показателя ОФВ1, где лучшая базовая функция легких ассоциирована с большей скоростью снижения в будущем. Логично предположить, что у пациентов с самыми низкими % расчетного показателя ОФВ1 имеется мало пространства для дальнейшего ухудшения функции легких (то есть существует эффект «нижнего этажа»), то биологическое основание для заключения о том, что самые высокие уровни функции легких вызовут ускоренное снижение ОФВ1, отсутствует.
Тем не менее документировано, что врачи – специалисты по CF могут быть более нерешительными при назначении постоянных пульмонологических терапий более здоровым подросткам[91][92], а также то, что более здоровые подростки могут быть в меньшей степени мотивированы на соблюдение режима назначенных терапий[93]. Кроме того, показано, что ответственность за соблюдение режима лечения все больше смещается в сторону подростка и дальше от его родителей или лиц, осуществляющих уход, что приводит к ухудшению соблюдения режима лечения[94]. Рассмотренная в данном контексте лучшая функция легких может быть маркером менее строгого лечения/соблюдения режима лечения и, в свою очередь, маркером повышенного риска снижения ОФВ1. Интересно, что данный феномен, по-видимому, распространяется, помимо подростков, на молодых взрослых, где более высокие значения ОФВ1 также ассоциированы с более высоким риском ухудшения функции легких в ближайшей перспективе[95].
Данные о том, что поведение врача и пациента влияет на прогрессирование заболевания легких у подростков, являются в основном косвенными, но существенными. Во-первых, показано, что по меньшей мере три постоянные пульмонологические терапии CF уменьшают средние скорости снижения ОФВ1: ибупрофен в высокой дозе[96][97][98], ингаляционные кортикостероиды[99] и дорназа альфа[100]. Из этого следует, что решение врача назначать или не назначать такие терапии потенциально оказывает влияние на будущее снижение ОФВ1, как и решение пациента соблюдать эти режимы лечения или нет. Во-вторых, показано, что назначение или неназначение постоянных пульмонологических терапий зависит от стадии заболевания легких, причем доля пациентов, которым назначают эти терапии, возрастает с уменьшением % расчетного показателя ОФВ1[101][102]. Если врачи в меньшей степени склонны к назначению терапий, снижающих скорость ухудшения функции легких у пациентов с лучшей функцией легких[103][104], неудивительно, что эти пациенты обладают относительно более высоким риском снижения ОФВ1.
Дополнительные данные, подтверждающие, что клиническая практика может играть роль в прогрессировании заболевания легких у подростков, можно найти при сравнении распределения ОФВ1 среди подростков из различных стран, где сложившаяся практика до некоторой степени различается (рис. 4).
Такие сравнения должны быть унифицированы с учетом возможности системной ошибки, вносимой за счет различного генетического фона пациентов, способов диагностики CF и смертности. Возможно, еще важнее, что такие сравнения осложняются фундаментальными различиями в протоколах сбора данных по CF в различных регионах, поэтому данные может быть трудно унифицировать[105]. Помимо очевидной проблемы сравнения данных, собранных в различные (но близкие) годы (рис. 4), есть и другая. Следует отметить, что в региональных протоколах не используют однородный стандарт для вычисления % расчетного показателя ОФВ1; данные Регистра CF Великобритании на рис. 4 получают, используя нормативные уравнения Knudson et al.[106], тогда как данные из других регионов получают, используя уравнения Wang[107] и Hankinson[108]. Кроме того, оценка единственного показателя функции легких для каждого пациента за данный год сама по себе является в некотором роде произвольной практикой и варьирует в зависимости от региона. Большей частью данные на рис. 4 используют «лучше всего зарегистрированный» % расчетного показателя ОФВ1 за данный год; исключение составляют данные, внесенные в Регистр ECFS Францией (N=898), где приведено последнее измерение ОФВ1 за год, и Германией (N=950), где приведен ОФВ1, ближайший к дню рождения пациента. Наконец, в Регистре CF Великобритании зарегистрирована функция легких из «периодического измерения».
С учетом того, что сравнение демографических данных, полученных в разных странах, нужно производить с оговорками[109], рис. 4 действительно позволяет предположить, что существует географическая вариабельность состояния здоровья легких при CF у подростков, и есть основания заключить, что по меньшей мере отчасти в эти различия вносит вклад то, как детям с CF оказывается медицинская помощь в этих регионах.
Наконец, указание на то, что различия в лечении пациента могут влиять на прогрессирование заболевания легких у взрослого, можно найти при сравнении распределений заболевания легких у взрослых в США между 1995 и 2010 г. Опять же перекрестные сравнения различных популяций подростков с CF одного и того же возраста могут таить в себе системную ошибку вследствие неспособности учитывать демографические различия. С учетом этих оговорок процент 1 2- и 13-летних в Регистре пациентов CFF США, имеющих ОФВ1 более 100 % расчетного значения, повысился с 22,4 % до 37,7 % с 1995 по 2010 г., тогда как процент 16- и 17-летних, имеющих ОФВ1 более 100 % расчетного значения, почти удвоился – с 11,4 % до 20,9 % за тот же период времени (рис. 5).
Постепенное улучшение состояния здоровья легких у подростков с CF за период с 1995 по 2010 г. и соответствует уменьшению признаков и симптомов респираторных заболеваний у подростков[110]. Возможно, не случайно с 1995 по 2010 г. также наблюдалась тенденция роста применения постоянных пульмонологических терапий в пределах популяции подростков ESCF, причем назначение ингаляционных антибиотиков возросло с 8,0 % до 50,0 %, ингаляционных кортикостероидов – с 18,1 % до 53,5 % и дорназы альфа – с 57,5 % до 76,0 % (рис. 6)[111]. Такая тенденция примечательна, поскольку она формировалась в популяции с улучшенной функцией легких[112] против тенденции к более редкому назначению этих терапий у пациентов с более высоким % расчетного значения ОФВ1, чем у пациентов с более низкими значениями ОФВ1[113][114]. Наблюдаемое улучшение состояния здоровья легких во взрослой популяции с CF США, вероятно, также связано с заметными улучшениями нутритивного статуса, роста и телосложения младших детей с CF по сравнению с достигнутыми в последние десятилетия[115].

Рис. 1. Гетерогенность % расчетного показателя ОФВ1 среди подростков США, страдающих муковисцидозом (CF). Распределение подростков, данные о которых находятся в Регистре пациентов Фонда муковисцидоза США 2010 г. (CF Foundation Patient Registry[116]), стратифицированы на основании их лучшего зарегистрированного % расчетного показателя ОФВ1 в 2010 г. для различных возрастных групп. Пациентов распределяли по возрастным группам, основываясь на их возрасте в день их рождения в 2010 г., и проценты представлены от общего числа 100 % в пределах каждой возрастной группы.

Рис. 2. Топографическое картирование фенотипов заболевания легких при муковисцидозе (CF). Панель А: карта фенотипа агрессивности заболевания по материалам статьи Konstan et al.[117]. Пациенты, имеющие тяжелый фенотип заболевания легких (черная зона), обладают более высоким риском смертности в молодом возрасте, тогда как пациенты, имеющие легкий фенотип заболевания (серая зона), обладают большей вероятностью доживания до старшего возраста. Популяция подростков с CF находится между вертикальными пунктирными линиями. Панель В: агрессивность заболевания среди подростков с CF в возрасте 12–17 лет. Фенотип агрессивности в 14-летнем возрасте при ОФВ1, равном 100 % расчетного показателя (круг «a»), является неопределенным и зависит от скорости снижения ОФВ1 за последующие 2 года (круг «b» по сравнению с «c»). По материалам статьи Journal of Cystic Fibrosis, Volume 8S, Konstan MW, Wagener JS, VanDevanter DR, Characterizing aggressiveness and predicting future progression of CF lung disease, pages 8S:S15-S19, copyright 2009 with permission from Elsevier.

Рис. 3. Многовариантное моделирование скоростей снижения ОФВ1 у подростков с муковисцидозом (CF) в возрасте 13–17 лет[118]. Параметры представлены в левой колонке, n = число пациентов, включенных в модель с данным значением параметра. Полосы представляют собой 95 % доверительные интервалы (ДИ). Пунктирная вертикальная линия представляет собой общую оценку скорости снижения ОФВ1 для популяции (2,34 % расчетного показателя/год). ПФП = показатели функции печени; ОВВ = отношение веса к возрасту. По материалам статей: Journal of Pediatrics, Volume 151 Number 2, Konstan MW, Morgan WJ, Butler SM, Pasta DJ, Craib ML, Silva SJ, Stokes DC, Wohl MB, Wagener JS, Regelmann WE, Johnson CA, Risk factors for rate of decline in forced expiratory volume in one second in children and adolescents with cystic fibrosis, pages 134–139, copyright 2007 with permission from Elsevier.

Рис. 4. Распределение функции легких у подростков с муковисцидозом (CF) по возрасту и географическому положению. Столбики, расположенные друг над другом, показывают доли подростков с CF данной возрастной группы в пределах различных диапазонов функции легких (в виде % расчетного значения ОФВ1) по географическому региону. Aus 2009, Пациенты, наблюдаемые в Регистре CF Австралии в 2009 г.; EU 2009, Пациенты, наблюдаемые в Регистре CF Европейского Союза в 2009 г. из Австрии, Бельгии, Чешской Республики, Дании, Франции, Германии, Греции, Ирландии, Израиля, Италии, Латвии, Молдовы, Португалии, Сербии, Словении, Испании, Швеции, Швейцарии и Нидерландов; UK 2010, Пациенты, наблюдаемые в Регистре CF Великобритании в 2010 г.; US 2010, Пациенты, наблюдаемые в Регистре Фонда пациентов CF США в 2010 г.

Рис. 5. Изменения в распределении ОФВ1 среди подростков в Регистре пациентов фонда CF США, 1995–2010. Левая панель: Распределение % расчетного показателя ОФВ1 среди 12- и 13-летних пациентов. Правая панель: Распределение % расчетного показателя ОФВ1 среди 16- и 17-летних пациентов. Линии представляют собой простые линейные регрессии долей пациентов в каждой категории ОФВ1 против времени, для которых приведены коэффициенты корреляции (R2) и значения р.

Рис. 6. Назначения ингаляционных антибиотиков, ингаляционных кортикостероидов и дорназы альфа среди пациентов в возрасте 13–17 лет, наблюдаемых в эпидемиологическом исследовании Регистра муковисцидоза для 1995, 2000 и 2005 г.[119].

Рис. 7А

Рис. 7В

Рис. 7С
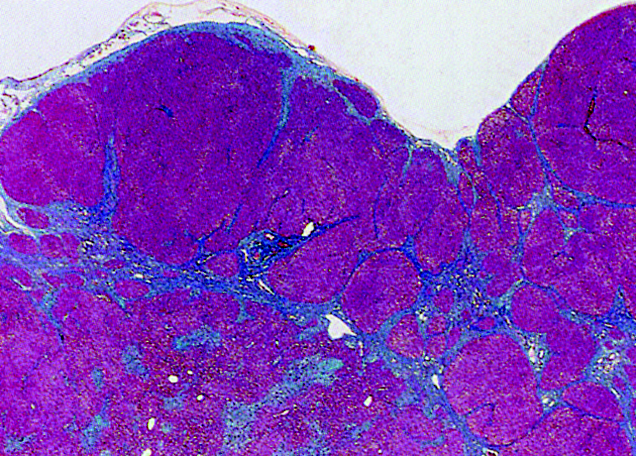
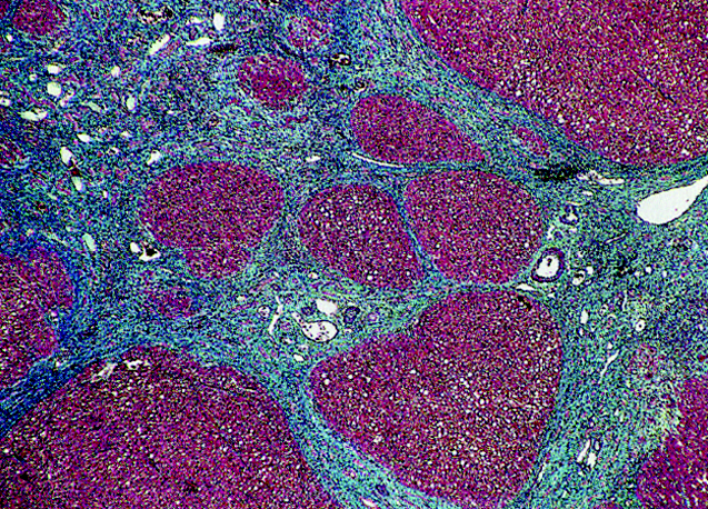
Эксплантат печени 13-летнего мальчика с муковисцидозом. (Рис. 7А) Общий вид в малом масштабе, показывающий макронодулярную капсулу печени. В глубоких отделах печени видны стадии изменения фиброза от перипортального фиброза до полного цирроза. (Рис. 7В) Изображение в увеличенном масштабе (исходное увеличение х100) показывает фокальный билиарный цирроз с фиброзными перегородками, связывающими портальные области, и окружающие регенеративные узелки гепатоцитов. Расширенные портальные области демонстрируют пролиферацию желчных протоков, вторичную по отношению к закупорке желчных протоков. (Рис. 7С) Изображение в увеличенном масштабе (исходное увеличение х100), показывает более раннюю стадию фиброза, еще не цирротическую. Имеется фиброзное портальное расширение с перипортальными фиброзными перегородками и периодические портальные тракты без регенеративных узелков. Окрашивание трихром по Массону: красный = гепатоциты, зеленый = коллаген. Любезно предоставлены Dr Amanda Charlton, Children's Hospital at Westmead (Сидней, Австралия).

Рис. 8. Обзор лечения обусловленного муковисцидозом заболевания печени (CFLD). * Цирроз и портальная гипертензия.

Рис. 9. Индивидуальный профиль выборки для подростков, завершивших измерение Знаний о лечении заболевания (KDM; от англ. Knowledge of Disease Management).

Рис. 10. Пять компонентов Интерактивной модели персонализированного и совместного лечения (IMPACT; от англ. Interactive Model of Personalized and Collaborative Treatment) – Соблюдения режима лечения.
8. Выводы
Для большинства пациентов, страдающих CF, характерна неотвратимая потеря функции легких и преждевременная смерть. Тем не менее средние скорости, с которыми падает функция легких, варьируется на протяжении срока жизни или у пациентов одного возраста. Прогрессирующее повреждение дыхательных путей при CF может начаться в ранний период жизни, но % расчетного значения ОФВ1, являющийся наиболее распространенным показателем заболевания легких при CF, в раннем детстве подвержен лишь умеренному влиянию. Средние скорости снижения ОФВ1 возрастают по мере того, как дети с CF становятся старше. К подростковому возрасту общие скорости снижения ОФВ1 приблизительно удваиваются по сравнению с таковыми у тех же пациентов в возрасте 6–8 лет. Несмотря на общее повышение скорости прогрессирования заболевания легких на уровне популяции непосредственно перед подростковым возрастом или в течение подросткового периода, индивидуальные скорости снижения ОФВ1 могут широко варьировать, создавая распределение стадий заболевания легких в данном возрасте.
Хотя подростковый период характеризуется повышенным риском прогрессирования заболевания легких при CF, за последние десятилетия произошло значительное улучшение состояния здоровья легких у подростков с CF. Косвенные данные о том, что поведение врача и пациента может оказывать существенное влияние на прогрессирование заболевания легких(например, посредством более строгого применения постоянных пульмонологических терапий), позволяют предположить, что остается потенциал для дальнейшего улучшения состояния здоровья легких у подростков с CF.
БлагодарностиАвтор хотел бы поблагодарить Bruce Marshall и Alexander Elbert за предоставление доступа к данным Регистра пациентов CFF США, Scott Bell и Geoff Sims за предоставление доступа к данным Регистра CF Австралии, Anil Mehta, Jo Anne Osmond и Elaine Gunne за предоставление доступа к данным Регистра Великобритании, Veerle Bulteel и Jacqui van Rens за предоставление доступа к данным Регистра ECFS и Genen-tech, Inc. за предоставление доступа к ранее не опубликованным анализам из Регистра ESCF.
Автор признателен Michael Konstan за детальные обсуждения и критическое прочтение данной главы.
Глава 3
Переход из детского центра во взрослый центр муковисцидоза
Jane de Vries
Cystic Fibrosis Centre, Department of Pulmonary Diseases, Haga Teaching Hospital, The Hague, The Netherlands
Корреспонденция:
Jane de Vries
Cystic Fibrosis Centre
Department of Pulmonary Diseases
Haga Teaching Hospital /
location Leyweg 275
2545 CH The Hague
The Netherlands
Tel: +31-62-3639833
Fax: +31-70-2102150
1. Введение
В связи с ранней диагностикой, усовершенствованными методами терапии и централизованной медицинской помощью ожидаемая продолжительность жизни для людей, страдающих муковисцидозом (CF), за последние десятилетия значительно увеличилась[120]. Для детского возраста заболевание и ухудшение функции легких менее характерно, и большинство молодых людей с CF имеют шанс достичь взрослого возраста. Это приводит в результате к значительному и возрастающему перемещению пациентов, страдающих CF, с детской на взрослую медицинскую помощь. Данный процесс перехода представляет собой важнейший этап для подростков и их родителей. Чтобы оптимизировать процесс изменения условий лечения, им необходимы помощь и руководство.
В большинстве клиник подготовку к переходу пациентов во взрослую клинику CF в настоящее время начинают в возрасте примерно 16 лет. Тем не менее растет осознание того, что подготовка к этому переходу должна начинаться в более раннем возрасте, даже с рождения. Этот процесс перехода должен быть начат детской клиникой, предпочтительно в тесном сотрудничестве со взрослой клиникой. После действительного перехода этот процесс сотрудничества должен продолжаться, чтобы обеспечить непрерывность медицинской помощи.
Различия между детским и взрослым медицинским обслуживанием необходимо согласовывать, чтобы гарантировать плавный переход как молодому человеку, так и его родителям. И детское, и взрослое медицинское обслуживание должны быть нацелены на то, чтобы свести к минимуму эмоциональное и физическое напряжение, чтобы обеспечить молодому человеку уверенность и гарантию того, что данное изменение не будет шагом назад в его лечении. Переход лучше всего документировать – применять протокол, который следует разработать детским и взрослым службам в соответствии с существующими руководствами.
В данной главе обсуждается значение перехода в целом, главные действующие лица в переходе пациентов с CF с детской на взрослую медицинскую помощь и трудности, с которыми сталкиваются пациенты, родители и профессиональные работники здравоохранения.
2. Процесс перехода
Переход представляет собой перемещение от одного этапа жизни к другому, либо от одного физического или психологического состояния к другому, либо от одной социальной роли к другой, которое временно нарушает нормальную жизнь и требует периода адаптации[121][122]. В переход вовлечены другие люди в течение процесса изменения в целях управления этим изменением и его регулирования. Данный процесс является поступательным процессом, а не одиночным событием.
Авторы Schumacher and Meleis[123] различают четыре типа перехода.
1. Переход в развитии: изменения в этапах жизни человека; этот переход является нормальным биологическим процессом, например переход от тинейджера к взрослому.
2. Ситуационный переход: изменения в социальном статусе, например меняющиеся роли между родителями и детьми в семье.
3. Переходы между здоровьем и болезнью: перемещение хронического заболевания на другую стадию, например ухудшение функции легких при CF.
4. Организационный переход: изменение обеспечиваемой медицинской помощи на медицинскую помощь, управляемую потребностями; централизация медицинской помощи.
В переход с детской на взрослую медицинскую помощь вовлечены все четыре типа изменений. Каждое из главных действующих лиц в данном перемещении медицинской помощи проходит свой собственный процесс перехода в целях урегулирования проблем, с которыми оно сталкивается.
2.1. Факторы, которые могут влиять на процесс переходаВ целях оказания правильной помощи людям, проходящим процесс перехода с детской на взрослую медицинскую помощь, важно, чтобы медицинские работники понимали факторы, которые могут влиять на этот процесс[124][125]. Эти факторы включают ожидания пациентов, их семей и работников здравоохранения, а также уровень и вид поддержки, доступной со стороны семьи и более широких социальных структур. Кроме того, уровень знаний и понимания хронического заболевания как пациента и семьи, так и работников здравоохранения, вовлеченных в оказание медицинской помощи пациенту, влияет на их способность реагировать на изменения, связанные с увеличивающимся возрастом и переходом на взрослую медицинскую помощь. Также важна доступность ресурсов для поддержания эмоционального равновесия и физического самочувствия.
3. Главные действующие лица в переходе с детской на взрослую медицинскую помощь при CF
Главными действующими лицами, участвующими в процессе перехода с детской медицинской помощи при CF на взрослую медицинскую помощь, являются: пациент, страдающий CF, его родители, а также представители детских и взрослых учреждений здравоохранения.
3.1. Пациент, страдающий CFВсе дети проходят несколько изменений в развитии, как физическом, так
и эмоциональном, за относительно короткий период времени. Эти этапы развития характеризуются следующим образом:
• 0–3 года: очень важно ощущение безопасности и связи с родителями;
• 4–6 лет: дети отделяют себя от родителей, у них развиваются собственные желания и раздвигаются границы;
• 7-10 лет: ребенок обучается, как контактировать с детьми своего возраста, у него развивается чувство собственного достоинства, он хочет быть независимым, но все еще полагается на своих родителей.
Согласно определению Всемирной организации здравоохранения, подростками являются молодые люди в возрасте от 10 до 19 лет[126]. В течение подросткового периода у пациентов начинает формироваться собственная идентичность, а также происходит изменение тела и приходит осознание собственной сексуальности. Они смотрят в будущее и задумываются над ролью, которую будут играть в нем. Они сталкиваются с выбором образования, карьеры, взаимоотношений и планирования семьи. Заболевание CF может делать этот выбор более трудным в связи с растущим осознанием ограниченности продолжительности жизни и с нарушением естественного процесса самоидентификации, особенно в таких чувствительных областях, как физическая инвалидность и сексуальное осознание[127]. Формирование собственной идентичности является трудной проблемой, особенно в ситуации заботы, которую им приходится принимать от родителей, с одной стороны, и от работников здравоохранения, с другой стороны. На этом этапе своей жизни они не хотят как-либо отличаться от своих ровесников, и ощущения изоляции и небезопасности мира могут выражаться в гневе, направленном на самих себя, на свою семью и на лиц, осуществляющих уход и лечение[128]. Это может оказать отрицательное влияние на становление их независимости.
Подростки с CF сталкиваются с проблемами, связанными с заболеванием, на одном из самых уязвимых этапов их жизни. Сохранение открытости и общение на равных с родителями и лицами, осуществляющими уход, являются непростыми задачами; на данном этапе жизни они имеют интересы, далекие от CF и от терапии. Важно, чтобы подростки чувствовали поддержку своей семьи и лиц, осуществляющих уход, при принятии их собственных решений и побуждались к корректировке и изменению решений, если они совершили ошибку, независимо от их поведения. Подростки с CF хотят, чтобы их лечили, как взрослых, и их родители и работники здравоохранения должны знать об этой потребности и реагировать соответственно.
3.2. РодителиРодители являются надежной опорой для своего ребенка по мере совершения ими перехода ко взрослой медицинской помощи. В течение этих лет родители играют важную роль в обеспечении своего ребенка медицинской помощью.
После первого получения известий о том, что их ребенок страдает CF, родителям также пришлось пройти через процесс трансформации. Они были вынуждены не только отклонить эмоциональные аспекты, но и привыкнуть к роли лиц, осуществляющих уход и лечение. Этот процесс может сопровождаться различными эмоциями: опасением за будущее, чувством вины, неуверенностью, печалью, гневом и отрицанием. Для родителей важно распознать свои эмоции на раннем этапе и стараться регулировать их интенсивность, чтобы они не оказывали отрицательного влияния на взаимоотношения с ребенком и не осложняли его путь к самодостаточности и управлению самим собой.