

Эдуард Первушкин
Остеопатия для родителей. Практическое руководство по восстановлению здоровья
© ООО «Доктор Первушкин», текст, 2024
© Оформление. ООО «Издательство «Эксмо», 2025
* * *Благодарности
Благодарю моих родителей, которые вложили в меня столько энергии любви, чтобы я мог жить и открывать чудесности этой Жизни.
Благодарю моих деток, которые помогают заново открывать Мир.
Благодарю моих первых читателей за энергию, энтузиазм и обратную связь при создании этой книги Александра Ярмоленко, Дмитрия Чавычалова, профессора Юлию Потехину, Наталию Рудакову.
Благодарю редактора Марию Васильеву за чуткое отношение и кропотливый перевод с профессионального языка на человеческий.
Благодарю Дениса Золотарёва за создание интерактивной поддержки книги.
Благодарю Алексея Шарова за профессиональный подход в видеосъемке упражнений тестирования и выполнения мануальных техник.
Благодарю Татьяну Гертфельдер за терпеливое создание иллюстраций, отражающих важные для меня детали.
Благодарю мой чудесный коллектив «Центра восстановительных технологий» за помощь в развитии дела восстановления здоровья и счастья наших пациентов.
Благодарю моих драгоценных пациентов. На протяжении десятилетий вы стимулируете меня на поиски новых технологий восстановления здоровья, делясь своим сокровенным. Вы задаете вопросы и выздоравливаете, становясь счастливыми. Вместе с вами и я становлюсь счастливым.
Благодарю моих преподавателей, Наставников и Учителей, которые терпеливо учили меня смотреть и видеть.
Вступление (от Автора)
В своей практике я часто встречаюсь как с людьми более, чем скептически настроенными по отношению к остеопатии, так и с людьми, необоснованно ажитированными некоей мистико-эзотерической информацией. Неверно ни то, ни другое.
С помощью этой книги я проведу вас через тернии научной информации, дам простые и мощные упражнения для самопознания и самосовершенствования, покажу простые и эффективные манипуляции для работы с близкими или расширения профессионального кругозора. И вы увидите, что ничего фантастического в остеопатии нет. Есть только знания, следование Пути и наработка практического опыта. И только прочувствованная информация станет для вас Истиной.
Особо хочу обратиться к родителям и рассказать им, что надо делать для улучшения здоровья наших драгоценных деток. Расскажу, как состояние деток зависит от нас, от родителей. Что конкретно надо делать для себя и для своего ребенка, чтобы стать здоровее, счастливее и радостнее. Покажу, как проверить собственными руками, действительно ли вы создаете своими руками счастье, или только ментальная отключенность от настоящего момента.
Прочитав книгу, вы сможете проверить эффективность своей работы или работу любого другого специалиста, применяющего для оздоровления слово, лекарство, манипуляции и другие методы. Возможно, вы обретете новую профессию.
В книге я буду использовать общепринятую орфографию. Однако обращу ваше внимание на написание одного слова.
Наш мозг думает образами: если мы говорим о бессознательном, то говорим о бесе (неприятный образ для многих) в сознательном; если же мы говорим о безсознательном, то говорим о процессах, которые протекают без участия сознания. Без участия сознания регулируются частота дыхания, частота сердечных сокращений, перистальтика кишечника, размножение различных клеток и так далее – то есть это благоприятные для жизни процессы. Читая книгу, уверен, вы поймете, о чем речь.
Дорогие мои читатели! Согласитесь, что посвятить немного времени изучению теории и практики и всю оставшуюся жизнь использовать практические навыки для улучшения своей жизни и жизни близких – небольшая плата за счастье. В добрый путь!
Часть 1. Общее

Глава 1. Почему я решил рассказать про остеопатию родителям
Родители – пассионарии[1] поневоле. Им приходится заботится о своих детках, и это обуславливает их высокую мотивацию. Именно поэтому родителей обучить проще, чем талантливых, но не столь мотивированных людей. И уж точно проще передать родителям навыки самопомощи и помощи детям, чем «вырастить» даже десяток квалифицированных врачей-остеопатов. Врачей, которых на сегодняшний день крайне мало.
Большинство моих пациентов и просто людей, с которыми мне довелось разговаривать на тему лечения и выздоровления, не понимают основ физиологии и принципов выздоровления. Более того, подавляющее большинство врачей мало знают об остеопатии и том, куда ее можно вставить в процессе лечения и реабилитации. Этот вывод я делаю потому, что пациенты ко мне на прием попадают чаще не по направлению врача. Бывают единичные случаи, когда педиатры, ортопеды, неврологи направляют к врачу-остеопату, но это лишь подчеркивает общую нерадостную картину.
Чаще пациенты слышат вот такую «рекомендацию» при упоминании остеопатии: «Вам этого нельзя!». Почему нельзя? Откуда появилось это мнение? Не понимая, что такое остеопатия, тем не менее запрещают…
И блуждают во тьме лечения с ложной надеждой на улучшение. Если же от таблетки/ инъекции/ операции/ прочее становится легче, то все сопричастные уверяются в однозначности метода лечения и теряют возможность выздороветь.
Тогда как выздоровление обусловлено Любовью – и более ничем.
Мое понимание Любви, – точнее, умения чувствовать, – было непростым и долгим. Когда в 2015 году на семинаре Вернера Ван Кампа[2], посвященном ведению беременности остеопатами, этот невероятный, фантастический Учитель говорил, что «Беременных не надо лечить, их надо любить», я думал: «Отлично, но уже давай показывай техники, которые надо выполнять».
А ведь к тому моменту я был уже почти умный! За время обучения в Институте остеопатии СПбГУ (2006–2010) я научился пальпировать подвижность внутренних органов, ощущать их собственную ритмичную подвижность – мотильность. Примерно за пять лет до встречи с Вернером Ван Кампом на семинаре другого Учителя, Роджера Гилхриста[3], меня научили чувствовать силу, которая проходит даже через заблокированную кость. То есть я научился чувствовать Дыхание Жизни, как называли эту силу пионеры остеопатии, даже за пределами тела. И мне понадобилось еще несколько лет, чтобы понять и научиться применять совет доктора Ван Кампа на практике. Этими знаниями о том, как освобождать внутренние силы пациента и запускать процесс выздоровления, я с вами и поделюсь.
Возможности человека я изучаю с 1993 года. В те годы я увлекался культуризмом и пауэрлифтингом. Мне нравилось эстетичное телосложение, включающее в себя здоровье, – культура тела. А также нравилось проявление запредельной силы в приседаниях со штангой на плечах, в жиме штанги лежа и становой тяге. Я искал технологии, которые позволили бы мне прийти к успеху и стать лучшим на соревнованиях. Вдохновлялся историями, которые рассказывали об удивительных возможностях человеческого тела, и силой, которая проявлялась во всех этих казавшихся невероятными случаях.
• В 1982 году Тони Кавалло ремонтировал свой Chevrolet Impala. Он находился под автомобилем, когда домкрат не выдержал и автомобиль упал на парня. Его бабушка Анджела Кавалло увидела это и бросилась спасать внука. Женщина руками подняла автомобиль весом 1750 кг на 10 см, и соседи вытащили Тони. Через два дня его выписали из больницы в полном порядке.
• В 2015 году на пятилетнего мальчика наехал внедорожник. Ник Уильямс увидел бледное лицо мальчика с выпученными глазами и пеной у рта. Ник поднял автомобиль, и отец вытащил мальчика. Мальчик получил травмы, но выжил.
• Роберт Реннинг увидел загоревшийся автомобиль. Он бросился на помощь находившемуся внутри водителю. Дверь заклинило, но Роберт не сдавался. Прибывший на место происшествия полицейский Закари Хилл обнаружил, что водитель жив, а дверь буквально сложена пополам. В дальнейшем больше так сделать Роберт не смог.
• В 1962 году японцы провели эксперимент с детьми, у которых была аллергия на ядовитый плющ. Детям натирали руку листьями ядовитого плюща, сообщая, что это листья сакуры. Для контроля натирали другую руку листьями сакуры, сообщая, что это ядовитый плющ. У всех детей появилась сыпь на той руке, которую натирали сакурой, выдаваемой за ядовитый плющ. А там, где кожи коснулся яд, у 11 из 13 детей не было сыпи.
Во всех этих историях я видел, как «всего лишь» сила мысли изменила физиологию человеческого тела, и это вдохновляло на дальнейшие поиски. Меня интересовали конкретные методы, которые могли улучшить результаты, и я добивался своего: без всякой амуниции и стероидов становился призером и победителем соревнований по пауэрлифтингу. Даже занял 4-е место на чемпионате России в федерации WDFPF.
Дальнейшие поиски ответа на вопрос «Как управлять физиологией?» привели меня в медицину, и в 2001 году я закончил педиатрический факультет Владивостокского государственного медицинского университета.
Именно настрой на поиск лучших методик позволил мне быстро осваивать врачебные профессии и не останавливаться на достигнутом, а продолжать развиваться в смежных специальностях, проясняя причинно-следственные связи заболеваний.
Перечень медицинских направлений, где я получил основные знания и навыки:
• педиатрия;
• детская хирургия;
• детская травматология-ортопедия;
• вертебрология.
Недостаток понимания, почему одни выздоравливают, а другие едва восстанавливаются, вел меня к дальнейшему изучению наук и практик:
• Институт остеопатии Санкт-Петербургского Государственного университета;
• «ПИЛОТ» – школа последипломного остеопатического образования доктора И. А. Литвинова;
• традиционная китайская медицина в школе S.F.E.R.E., директор Жан-Пьер Гильяни (Франция);
• краниосакральная терапия UPLEDGER INSTITUTE, директор Джон Апледжер (США);
• краниосакральная биодинамика WELLNESS INSTITUTE, директор Роджер Гилхрист (США);
• метод физиологических цепей, Формация Бюске, директор Леопольд Бюске (Франция);
• традиционная (ранее биодинамическая) остеопатия в школе «Дыхание жизни», директор Джеймс Джилос (США);
• биодинамическая остеопатия в педиатрии, SOCK, директор Вернер Ван Камп (Швейцария);
• Школа биологического декодирования болезней, директор Кристиан Флэш, (Франция);
• гуманистический гипноз в институте IFHE, директор Оливье Локер, (Франция);
• Школа интуитивной психопрактики, директор Сесиль Калишон (Франция);
• Институт системной терапии и организационного консультирования «ИСТОК», директор Воробей С. В. (Россия, Санкт-Петербург) и CLARO (Германия).
Также с 2007 года обучался на многих десятках научно-практических семинаров отечественных и зарубежных преподавателей по остеопатии. Был участником и спикером отечественных и международных симпозиумов, посвященных остеопатии.
Начав практиковать остеопатические методы лечения в 2006 году, я увидел, насколько быстро и легко мои пациенты получают результат. Если раньше при помощи обычных методов лечения, включая медикаментозное, люди могли годами болеть, периодически глотая «волшебные пилюли» с тщетной надеждой на выздоровление, то методы остеопатии запускали восстановительные процессы в организме. Мои пациенты больше не жили от обострения до обострения, а реально выздоравливали. В 2008 году я организовал свой Центр восстановительных технологий.
Прошло еще несколько лет, и мне стало абсолютно ясно, что, с одной стороны, работы – просто огромное поле, и я один, даже открыв Центр, конечно, не справлюсь. С другой стороны, с опытом ко мне пришло понимание, как надо преподавать остеопатию.
И я начал с сотрудников своего Центра восстановительных технологий. Получалось, действительно, хорошо! Моим ученикам даже удавалось отстоять свою точку зрения с преподавателями Института остеопатии. Но этого было мало.
Тогда я начал преподавать в Кубанском институте остеопатии и холистической медицины. Мне нравилось, когда врачи открывали для себя новые грани остеопатии, с жадностью впитывали знания и технические навыки, рассказывали о своих успехах с пациентами после полученных навыков. И этого тоже оказалось мало: подготовка врача штучное дело, многолетнее. Я понял, что это – как молекулы в море.
Для оздоровления как можно большего числа людей мало воспитывать грамотных врачей. Воспитывать надо всех – и грамотных пациентов в первую очередь.
Более 10 лет я провожу санитарно-просветительную работу: пишу статьи, книги, участвую в телепередачах, читаю лекции и провожу занятия для врачебных коллективов, снимаю научно-популярные видео, где показываю реальные случаи выздоровления и отзывы пациентов, чтобы вдохновить вас, мои дорогие читатели и единомышленники, на выздоровление. Чтобы вас больше никто не мог обмануть, пользуясь вашими проблемами со здоровьем, а вы сами могли при этом понимать, какую пользу можно получить от данного профессионала, а где его компетенции заканчиваются.
Но и распространения информации о физиологии выздоровления мне оказалось мало. Тогда я сделал авторский курс из шести базовых семинаров на основе остеопатии «Проект: здоровье для всех». Курс рассчитан на всех желающих, начать можно с любого семинара. Там я учу разбираться в основах физиологии и применять методы оздоровления для себя и близких. Те, кто уже владеет мануальными техниками, может расширить свои профессиональные навыки. А некоторые выпускники моих семинаров задумываются о новой профессии и начинают оказывать помощь людям в своих городах. Но и этого мне тоже оказалось мало.
Когда человек остается наедине со своими новыми знаниями, новыми навыками, случается, что ему не с кем это даже обсудить. Появляются новые ощущения от работы со своими детьми, близкими или даже с другими людьми, но одновременно может появиться и состояние растерянности. Мир подсвечивается новыми красками, но мы, как Фома неверующий, все гоняем и гоняем внутри себя мысль: «А не придумываю ли я все это себе?». Особенно уязвим человек, когда близкие или авторитетные люди заявляют: «Не по Сеньке шапка! Чего ерундой занимаешься?». В этой ситуации неуверенности и растерянности очень важны единомышленники, которые вас понимают.
Ведь кто такие единомышленники? Это больше, чем просто приятные люди, с которыми можно поговорить на общие темы. Это поле взаимодействия. Поле, в котором взаимодействуют родитель и дитя, специалист и пациент. А также поле, где можно поделиться своими открытиями, феноменами сеанса. Где можно задать вопросы, которые возникают по мере практики. А также поле, где происходит взаимодействие за пределами слов. В главе «Почему каждый родитель должен владеть основами выздоровления» я расскажу подробно о физике и биологии данного феномена.
Вот поэтому я решил написать для вас, мои драгоценные единомышленники, книгу с научно-популярным изложением основ физиологии и дать простые и мощные практики для оздоровления себя и близких. Эта книга будет полем взаимодействия для нас с вами. Здесь мы не только поговорим об умном, не только освоим простую и наглядную диагностику, не только возьмем на вооружение безопасные и мощные приемы для оздоровления, но и коснемся того, что остаётся за пределами слов. Создадим общее энергоинформационное пространство, где будем обогащать друг друга. И, как знать, возможно, встретимся на одном из семинаров или на сеансе, где вы поделитесь, как жизнь заиграла новыми красками.
Глава 2. Что такое остеопатия и с чем ее едят
История развития остеопатии в мире и в России
Несмотря на активнейшее распространение остеопатии в России и уже достаточно долгую историю в мире, подавляющее большинство людей, и даже врачей, до сих пор, как я уже упоминал, не очень понимают, куда «пришить» остеопатию в лечебном процессе. Давайте разбираться с самого начала.
Легенда возникновения остеопатии гласит, что в 10 часов пополудни 22 июня 1874 года доктор Эндрю Тейлор Стилл поднял палец в небо и провозгласил: «Остеопатия существует!». Теперь в этот день мы отмечаем Всемирный день остеопатии.
Судьба доктора Стилла была непростой. После того, как трое его детей умерли от менингита, он разочаровался в классической медицине и углубился в изучение альтернативных способов лечения. Им было исследовано множество методик, включая технологии индейцев, мейсмеризм, костоправство, гомеопатию.
Итогом этой кропотливой работы стала система мануальной коррекции организма, запускающая в теле целебные процессы.
Систему доктора Стилла признали далеко не сразу. Местная церковь объявила метод святотатством, и в итоге из родного города доктору Стиллу пришлось уехать. Кстати, старший брат доктора еще на протяжении 18 лет продолжал утверждать, что «Эндрю сошел с ума, давайте за него помолимся».
Переехав в городок Кирксвилл, штат Миссури, доктор Стилл при поддержке местных властей открыл кабинет. Он очень быстро прославился как костоправ, который буквально мгновенно излечивал самые разнообразные болезни, в том числе считавшиеся неизлечимыми. Вскоре властям Кирксвилла даже пришлось проложить железную дорогу, чтобы все желающие смогли попасть к доктору на прием!
Порой доктор Стилл принимал до 150 человек в день, при этом поток пациентов становился только больше. Он понял, что пришла пора обучать своему методу других людей. Тем не менее в 1891 году доктор Стилл получил сперва отказ от уполномоченного судьи на открытие школы. Однако уже в 1892 году он все же добился открытия в Кирксвилле Американской школы остеопатии.
В этой школе учились выдающиеся остеопаты. Например, доктор Уильям Гарнер Сатерленд – основоположник остеопатии в краниальном[4] поле, знаменитого подхода с почти незаметной работой на структурах головы и мощным терапевтическим эффектом. И до сих пор Колледж остеопатической медицины в Кирксвилле работает и готовит удивительных остеопатов.
Примерно в 2014 году доктор Вернер Ван Камп рассказал удивительную историю об этом колледже. Будучи еще молодым остеопатом, он поехал стажироваться в Кирксвилл, где стал свидетелем удивительной практики: местные остеопаты учились определять руками уровень глюкозы в крови у пациентов. Они записывали на бумажке уровень, который они почувствовали, затем пациент шел в лабораторию и сдавал кровь для определения уровня сахара в крови. Ориентируясь на обратную связь в виде лабораторного анализа, остеопаты таким образом оттачивали свой навык чувствования. Около 50 пациентов в день. На протяжении двух лет. И остеопаты научались точно определять уровень глюкозы в крови пациента.
В Европе первая Школа остеопатии была открыта в 1917 году в Лондоне учеником доктора Стилла, Джоном Мартином Литтлджоном. Сегодня она известна как Британская школа остеопатии. В последующие десятилетия в европейских странах открылось еще много школ остеопатии. В некоторых из них преподавали первые ученики доктора Сатерленда: Гарольд Магун, Виола Фрайман и другие.
В России развитие остеопатии началось в 1988 году, когда Виола Фрайман приехала в НИИ ортопедии и травматологии имени Г. И. Турнера по приглашению руководителя НИИ, профессора В. Л. Андрианова. Она выступила с докладом и провела несколько показательных сеансов.
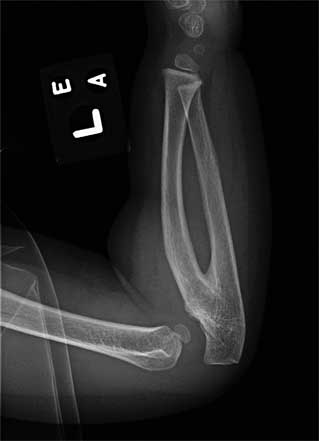
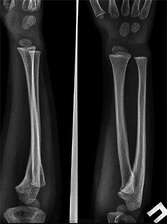
Очевидно, что немаловажную роль сыграл и случай с ребенком с диагнозом радиоульнарный синостоз. Это аномалия развития возникает в результате нарушения процесса внутриутробного развития малыша, когда нарушается процесс апоптоза – то есть процесс разделения лучевой и локтевой костей.
На иллюстрации справа пример синостоза сверху и нормы снизу:


Одним из пациентов на показательном сеансе Виолы Фрайман и был ребенок с этим диагнозом. Каково же было удивление врачей-ортопедов, когда примерно через 10 месяцев произошло сегментирование костей предплечья, и объем движения полностью восстановился! На последующие въедливые расспросы врачей Виола отвечала: «Я только освободила дорогу жизненным силам, а все остальное организм сделал сам».
Уже в 1990 году первая группа врачей и руководителей медицинских учреждений поехала учиться остеопатии. В 1994 году появилась первая частная остеопатическая школа в Санкт-Петербурге, а в 2000 году – первая государственная школа остеопатии на базе Медицинской академии последипломного образования в том же Санкт-Петербурге. С тех пор в разных городах России появился ряд серьезных остеопатических школ.
К сожалению, вместе с ними возникло и несметное количество различных курсов, обещающих подготовить специалистов-остеопатов «80 левела». Разумеется, за 3 дня. Максимум – за 2 недели. Надеюсь, мои уважаемые читатели, когда вы ознакомитесь с практической частью книги и попробуете попрактиковать сами, то сможете самостоятельно сделать вывод о пользе подобных курсов… А также поймете, почему подготовка квалифицированного врача-остеопата занимает много лет. Но вернемся к истории развития остеопатии.
В 1997 году была создана общественная организация «Регистр Остеопатов России». В 2014 году организация получила новое название. Теперь это «Общероссийская общественная организация «Российская остеопатическая ассоциация» (РОсА). Это профессиональное сообщество врачей-остеопатов, цель которого – развитие качественной остеопатической помощи для людей.
С 2007 года «РОсА» издает профессиональный журнал «Российский остеопатический журнал»[5], где публикуются научные и практические достижения, с которыми могут ознакомиться врачи и пациенты. В 2016 году ВАК[6] включил журнал в перечень ведущих рецензируемых научных журналов и изданий, где публикуются научные результаты кандидатских и докторских диссертаций. Это говорит о признании российским научным сообществом исследовательской деятельности врачей-остеопатов. А в 2022 году «Российский остеопатический журнал» вошел в Scopus – самую крупную и авторитетную в мире базу научных материалов.
В 2003 году Минздравом России остеопатия была утверждена как метод диагностики и лечения. Официальное определение звучало так:
«Остеопатия – совокупность лечебно-диагностических методик, используемых для установления причин и устранения выявленных патобиомеханических нарушений путем мануального воздействия на анатомические структуры черепа, позвоночника, крестца, суставы, мышечно-связочный аппарат, внутренние органы в целях восстановления их подвижности и оптимального функционирования».
В 2012 году приказом Минздрава утверждена профессия врач-остеопат, разработаны нормативные документы. Теперь врач-остеопат должен вести необходимую документацию, включая карту пациента, где должно быть отражено обследование пациента и прослеживаться логика построения лечения.
В 2014 году Минздравом был утвержден главный внештатный специалист по остеопатии. Им стал доктор медицинских наук, профессор, заслуженный врач Российской Федерации Дмитрий Евгеньевич Мохов.
В 2015 году утверждены программы профессиональной переподготовки и повышения квалификации по специальности «Остеопатия».
В 2015 году остеопатия включена в номенклатуру специальностей высшего медицинского образования. Врач может пройти ординатуру по специальности остеопатия, как и по многим другим специальностям типа неврологии, травматологии-ортопедии, кардиологии и прочих.
С 2018 года проводится лицензирование деятельности врачей-остеопатов. Если у медицинского центра есть лицензия на остеопатическую деятельность, то можно быть уверенным, что у врача-остеопата есть базовые знания и умения.
А с 2022 года началось обучение по программе специалитета «Остеопатия». Теперь можно получить образование не только по специальности педиатрия, лечебное дело, стоматология, но и сразу по остеопатии.
Такое мощное поступательное развитие остеопатии в России заставляет весь мир смотреть с удивлением на наши растущие базы – научную, образовательную и юридическую.
Определение остеопатии
Разбираем определение остеопатии: медицинский, мануальный, холистический – где связь?
Официальное определение остеопатии[7] звучит следующим образом.
Остеопатия[8] – холистическая мануальная медицинская система профилактики, диагностики, лечения и реабилитации соматических дисфункций, влекущих за собой нарушение здоровья, направленная на восстановление природных способностей организма к самокоррекции.