
Нарушение обмена веществ продолжалось и во время болезни: осенью я прибавил в весе на лишние 2—3 кг, стал плохо высыпаться, появились диспепсические явления, изжога, вздутие живота после приема пищи, что могло быть причиной снижения секреции желудочного сока и ферментной недостаточности. Небольшое улучшение я получал при добавлении в пищевой рацион кислых натуральных продуктов, квашеной капусты, кумыса, айрана, зеленых яблок, свежей зелени, овощей, редиски, помидоров, огурцов. Почувствовалась какая-то сильная тяга к кислой пище, кислым напиткам, лимонному соку, столовому уксусу.
Кожа на лице стала сухой, появилось чувство «покалывания иголками» внутри кожи по всему телу. Этот симптом потом всегда сопровождал меня до тех самых пор, пока я полностью не прекратил питье ультрапресной обессоленной воды. Покалывания в коже связывают с недостатком магния и с открытием капилляров. Например, если вы долго сидите в неудобной позе, зажав сосуды какой-нибудь конечности, а потом вдруг резко выпрямили конечность, восстановив нормальный кровоток, обычно человек ощущает покалывания по всей конечности. Так идет открытие всех зажатых капилляров и восстановление нормального кровообращения.
После питья обессоленной воды появился еще один симптом – повышенная ломкость ногтей, что также указывало на минеральную недостаточность. А еще через год появились серьезные проблемы с зубами, которые пришлось решать на протяжении последующих трех-пяти лет.
Но давайте вернемся, как говорится, к «нашим баранам». Успешно преодолев левосторонний коленный артроз, позднее я столкнулся с таким же заболеванием другого коленного сустава, теперь уже правого.
Одним из первых симптомов заболевания противоположного правого коленного сустава сначала было ощущение какой-то тупой болезненности по ходу подкожных вен ноги. Один сосуд подкожно определялся на ощупь по ходу вены на тыле правой стопы и терялся в области голеностопного сустава, другие определялись в верхней части правой голени в области икроножной мышцы, сосуды прощупывались как плотные тяжи толщиной до 3—5 мм, слегка болезненные при пальпации особенно в верхней части правой голени ближе к задней поверхности. Эти тяжи направлялись в подколенную ямку позади коленного сустава, где пальпировались как небольшая россыпь узлов диаметром до 5—7 мм, болезненных при пальпации. Очевидно, что это были воспаленные элементы лимфатической системы – лимфангит и лимфаденит. Вероятно, по ходу лимфатических сосудов к лимфатическим узлам продвигалась масса травмирующих агентов, которые вызвали воспалительную реакцию сначала в лимфатических сосудах голени, затем лимфатических узлах подколенной ямки, а уж потом реагировала и синовиальная оболочка правого коленного сустава. Налицо были признаки какой-то кристаллопатии, то есть шло образование каких-то кристаллов, которые вызывали травматизацию как стенок лимфатических сосудов, так и синовиальной оболочки сустава. Вместе с этим появился отчетливый хруст в суставах при любых движениях, ничего подобного никогда у меня не было.
Дальнейшее обострение контрлатеральных, то есть противоположных суставов начиналось именно по такому же сценарию. Если мой первый эпизод артроза стал результатом продолжительного физического воздействия, можно сказать как результат травмы, то все последующие эпизоды уже шли по пути метаболических нарушений, которые очень сильно были связаны с погрешностями в питании.
Впоследствии еще не раз коленный артроз у меня менял сторону поражения, и это происходило уже независимо от проводимого лечения. А как я пытался лечить артроз, опишу в следующей главе.
Бег по кругу
Целый год я то и дело принимал разные препараты для того, чтобы восстановить нарушенный обмен веществ в соединительной ткани, и укрепить суставы с разными результатами. Хорошо, что я вел дневник, который помог мне позднее разобраться с эффективностью своих действий, провести полный анализ. Потому что сегодня, спустя уже 7 лет, я с трудом вспоминаю, чем я лечился.
Например, биопрепарат Мумичага (не является лекарством, проконсультируйтесь со специалистом) из смеси горно-алтайского мумие, содержащего древние останки разной органики, и сибирского древесного гриба чаги дал мне заметное улучшение уже на второй день приема. Боль притупилась, сустав стал лучше работать. Но повторный прием этого же продукта через пару месяцев такого эффекта уже не повторил.
Заболевание принимало цикличный характер. Три месяца болит и опухает один коленный сустав, затем с этой стороны процесс купируется, и заболевает противоположный сустав еще на три месяца. Потом снова все повторяется заново, и так бесконечно.
На фото тех лет вы можете видеть уже двусторонний процесс: оба коленных сустава отечны, в них увеличено количество синовиальной жидкости, которая раздувает полости коленных суставов, включая околосуставные сумки. Извините за буйную растительность на коже, но контуры отечных суставных полостей на фото видно невооруженным глазом.

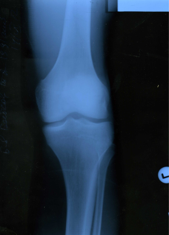
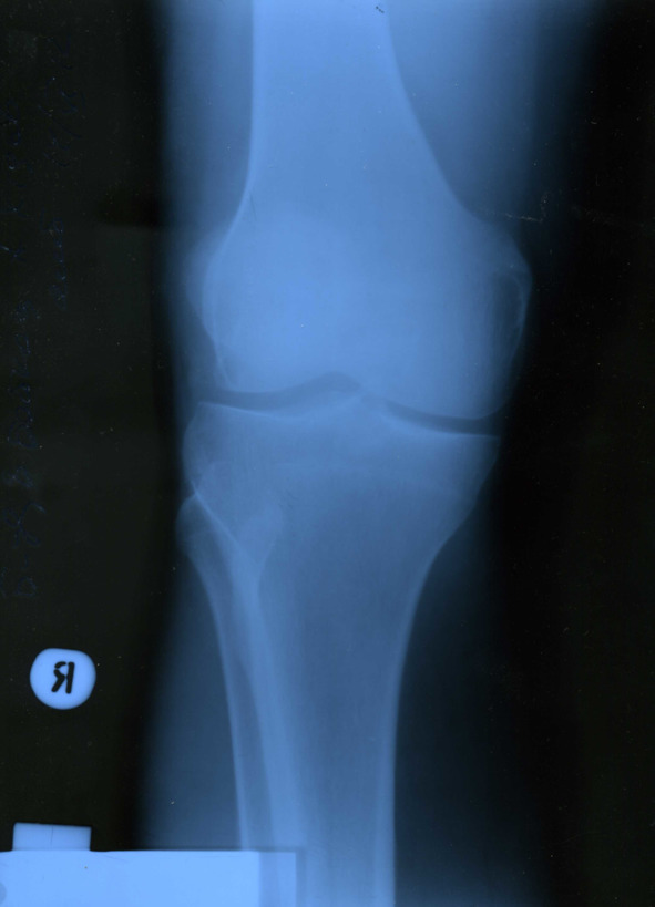
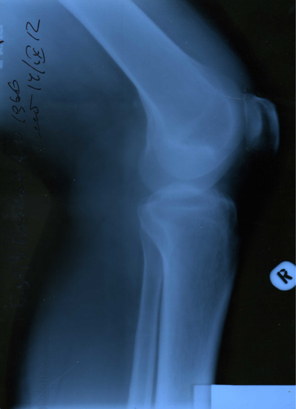
В сентябре 2012 года, когда уже оба сустава по кругу обострялись ни один раз, в очередной раз случилось обострение, и я все-таки решил обратиться к коллеге-хирургу за обследованием и профессиональной помощью. После общего осмотра было назначено рентген-обследование коленных суставов (все снимки представлены ниже).




Изменения малозаметны, но все же диагноз хронический остеоартроз подтвердил врач-рентгенолог, хирургом назначены обезболивающие средства и аппликации сустава димексидом.
Димексид – синтетический лекарственный препарат дня наружного применения, обладающий антибактериальными, обезболивающими и противовоспалительными свойствами. Для назначения требуется консультация специалиста. Широко применяют в дерматологии и урологии, а также при мышечной и суставной боли.
Никакого облегчения данное лечение мне не принесло, хотя я добросовестно лечился по рекомендациям коллеги более 2-х недель, поэтому пришлось продолжить поиск собственной правды.
Тут я вспомнил про клеща, раньше я неоднократно испытывал на себе их укусы в связи с походами в лес и ежегодными сплавами, поэтому решил обратиться к врачу – инфекционисту за консультацией по поводу боррелиоза. Но ввиду давности укусов и отсутствии образцов иксодового клеща ничем помочь мне не смогли. Клеща никто не сохранил, подозрения остались без доказательств. Врач рекомендовал лишь проверить кровь методом иммуноферментного анализа (ИФА) на боррелиоз, но об этом чуть позже.
Итак, давайте разберемся, почему боррелиоз может стать причиной заболевания суставов. И какие еще заболевания могут привести к артрозу.
Дифференциальная диагностика
Боррелиоз. Болезнь Лайма. Это инфекционное заболевание, вызывается бактериями рода боррелия (кстати, из одного биологического класса с возбудителями лептоспироза, возвратного тифа и сифилиса). Переносчиком являются иксодовые клещи, которые распространяют инфекцию с помощью своей слюны. Распространено только в северном полушарии нашей планеты.

На месте укуса клеща, развивается покраснение и отечность кожи. Возбудитель через кровь и лимфу может попасть в любые внутренние органы, суставы, мозг и др. Не исключается повторное заражение через 5 – 7 лет.
При поражении суставов чаще страдают коленные 62,2%, плечевые 31,1%, голеностопные 28,9%, локтевые 20%. При поражении сосудов боррелиями отмечаются очень высокие цифры диастолического артериального давления до 115 мм рт. ст. (Источник http://www.myshared.ru/slide/459336/)
Я в молодости ни раз подвергался нападению клещей, бывало, что с одежды и кожи приходилось снимать более десятка клещей. И даже однажды находил у себя признаки эритемы в интимных местах, но ни разу даже не заподозрил неладное. Ведь общее самочувствие никогда не страдало, и не было каких-то выраженных подозрительных симптомов. Понятно, что инфекция могла оставаться без соответствующего адекватного лечения.
Подозрение на боррелиоз у меня закралось уже давно, еще осенью 2011 года. Ведь накануне летом я продолжительное время был в лесу, и там был контакт с иксодовым клещем, правда, он не успел сделать укус. Но контакт же был.
А еще в том же походе как-то странно заболел мой младший сын 12-ти лет. Погода стояла жаркая, все купались в речке. На очередной стоянке у сына внезапно появился жар, температуру в лесу измерить было нечем, появилась сильно выраженная слабость, головная боль и тошнота. Живот оставался мягким и безболезненным, никаких катаральных явлений не было обнаружено кроме неяркого покраснения дужек зева в горле. На коже появилась очень бледная мелкоточечная сыпь.
Ребенка положили в открытой настежь палатке, под плотный навес, чтобы укрыть от палящего солнца. Давали противовоспалительные средства из аптечки (члены команды даже сбегали в ближайшую деревню за 5 км в аптеку), большую дозу витамина С, и начали отпаивать простой водой и травяными чаями из маленькой ложечки. На лоб укладывали мокрую повязку, тело натирали пищевым уксусом. У ребенка была рвота. Но отпаивать не прекращали. За день он выпил более 1,5 литров воды и травяных настоев.
В аптечке туриста почти никогда не найдешь антибиотиков кроме средств от поноса, зато мы уже много лет всегда с собой берем 100%-ное эфирное масло австралийского чайного дерева (не является лекарством, проконсультируйтесь со специалистом). Это великолепное обезболивающее и антиоксидантное средство, обладающее универсальным противопаразитарным эффектом широкого спектра действия: против бактерий, грибков, простейших, гельминтов, вирусов и даже отпугивает насекомых. Но в продаже его всегда позиционируют как косметическое средство для наружного применения. Это еще и природный репеллент против комаров и клещей. Много раз оно помогало нам справиться с мелкими травмами и незначительным воспалением. Но даже при наружном использовании для детей можно получить прекрасный лечебный эффект сравнимый с употреблением внутрь. В любом случае без консультации специалистов никогда не следует использовать вовнутрь, так как оно обладает сильным раздражающим эффектом на слизистые оболочки. Специалисты советуют сильно растворять для использования во внутрь в любом пищевом нейтральном масле или в молоке (обычно – 1 капля на ложку молока).
Я прекрасно был осведомлен о свойствах эфирных масел и уже имел большой опыт применения на себе и родственниках, поэтому своему ребенку дал выпить вовнутрь одну каплю 100%-ного масла чайного дерева в чайной ложке с питьевой водой, он выпил. За весь день он выпил всего 2 капли с водой, по одной – утром и вечером. Но зато на кожу груди, живота, шеи в течение дня было накапано более 10 капель масла и растерто по кожным покровам. Этот прием нам помогал уже много раз остановить любое инфекционное заболевание, и мы научились использовать его уже много лет назад.
К вечеру ребенок стал обильно потеть, очень хорошо и обильно сходил в туалет по-маленькому, а к ужину ребенок уже попросил кушать. Кризис миновал, на следующее утро ребенок был практически здоров, что позволило нам благополучно доплыть до конечной точки маршрута и отбыть домой.
Надо сказать, что мои дети всегда простудными и вирусными болезнями в детстве болели так же стремительно: начиналось все с признаков острого патологического процесса, интоксикации, высокой температуры и даже рвоты, которые на фоне своевременного лечения обычно проходили за сутки-двое. Наутро не оставалось никаких симптомов, только продолжали наблюдение за ребенком, а на третий день ребенок обычно отправлялся в детский садик или в школу. К этому все привыкли.
Поэтому об этом инциденте в походе вскоре все позабыли, пока я не стал ворошить свою память из-за своих проблем с суставами. Дело в том, что в литературе встречались факты, когда человек, имевший телесный контакт со слюной зараженного иксодового клеща, мог вполне реально заразиться боррелиозом через кожу, даже через микротрещинки, ссадины или потертости в кожных покровах.
А когда через месяц, в конце августа у меня появился острый артрит, то боррелиоз серьезно рассматривался как вероятная причина. Но на тот момент я даже не знал, где и как можно обследоваться на этот предмет.
Обследование крови методом ИФА на боррелиоз было произведено лишь осенью 2012 года в лаборатории городского отделения Роспотребнадзора, бывшей санэпидемстанции (СЭС). Это случилось вскоре после обращения к коллегам врачам поликлиники. Удивительно, к тому времени мой старший сын, ему тогда было двадцать лет, тоже неожиданно пожаловался на свой коленный сустав. Это еще больше утвердило мои подозрения на инфекционный процесс. Мой старший выбрал себе специальность профессионального туриста и учился на соответствующем факультете в институте физкультуры, поэтому ходить по лесу проводником его обязанность. Но его, в отличие от меня никогда не кусали иксодовые клещи. Младший, тот, что остро переболел в походе, был к тому времени абсолютно здоров.
Итак. Мы вместе со старшим сыном делали рентгенологическое исследование суставов и кровь на боррелиоз сдали одновременно.
Анализ ИФА ничего не выявил ни у меня, ни у сына. Кстати, на рентгене у моего старшего рентгенолог описал какую-то врожденную аномалию крестообразной связки. Но этот дефект его никогда больше не беспокоил. Здесь также можно усмотреть связь с питьевой водой, ведь фильтр для воды стоял у меня дома, и все члены моей семьи пили эту воду, может быть на так фанатично, как я.
И еще. Подозрения на боррелиоз у меня усилились через полтора года, когда весной 2014 года я случайно обнаружил у себя очень высокое артериальное давление, АД 190/115 мм рт. ст. меня просто застали врасплох, ведь я ничего подозрительного не замечал. У меня не было жалоб на сосуды. Особенно поразили высокие цифры диастолического давления, которые являются признаками поражения сосудов. Это мог быть еще один симптом поражения боррелиозом, о котором здесь упоминалось выше. Но ведь анализ крови ничего не показал, значит, обращаться за медицинской помощью было бесполезно.
Конец ознакомительного фрагмента.
Текст предоставлен ООО «Литрес».
Прочитайте эту книгу целиком, купив полную легальную версию на Литрес.
Безопасно оплатить книгу можно банковской картой Visa, MasterCard, Maestro, со счета мобильного телефона, с платежного терминала, в салоне МТС или Связной, через PayPal, WebMoney, Яндекс.Деньги, QIWI Кошелек, бонусными картами или другим удобным Вам способом.
Вы ознакомились с фрагментом книги.
Для бесплатного чтения открыта только часть текста.
Приобретайте полный текст книги у нашего партнера:
Всего 10 форматов